Befund MRT

Fragen und Antworten rund um das Thema Skoliose
Antworten
AlexandraTobias
Newbie
Newbie
Beiträge: 8
Registriert: So, 18.02.2018 - 12:04
Geschlecht: weiblich

Befund MRT

Beitrag von AlexandraTobias »

Guten Tag,

ich wäre sehr froh wenn mir jemand etwas zum MRT-Befund meines Sohnes mitteilen könnte. Ist es sehr schlimm, oder besteht Hoffnung, dass wir noch einige Jahre ohne ständige Arztbesuche haben können?

Dies ist der Befundbericht bezüglich des MR der gesamten Wirbelsäule:

minimale kyphotische Knickbildung mit einem leichten Knick bei D11. Hier zeigt sich eine Synostosierung zweier linksseitiger Halbwirbel zu einem Keilwirbel mit skoliotischem Knick nach links. Regelrecht das Alignement. Keine Segmentierungsstörung in der LWS. Die übrigen BWS Wirbel ebenfalls unauffällig. Regelrecht der Konusstand und die Cauda.
In der HWS zeigt sich eine Schmetterlingswirbelbildung mit einer Erniedrigung der zentralen Portion von C5 und C6 bei einem regelrechten dorsalen und ventralen Alignement.
Leichte linkskonvexe Skoliose der HWS. Regelrecht das Myelon und die mitangeschnittene hintere Schädelgrube. Leichte Cisterna magna permagna. Regelrecht die Position der Kleinhirntonsillen.

Die Diagnose des zuständigen Kinderorthopäden lautet:
Kurzbogige Skoliose bei Segmentationsstörung thorakolumbal
Schmetterlingswirbel cervical
Therapieverordnung:
Orthop. Visite bei Prof. C. Wimmer empfohlen (Schönklinik Vogtareuth - ist jedoch nur mehr für kurze Zeit dort und vergibt keine Termine mehr)

Bitte helft mir etwas Klarheit in meinem Kopf zu bringen, da ich seit August 2017 mit der Ungewissheit leben muss und mein Sohn ist erst 3,5 Jahre alt.
Was würdet ihr tun, habt ihr evtl. Empfehlungen?

Vielen Dank an Euch bereits im Voraus!

ich habe Deinen Thread aus der Gästerubrik hierher verschoben, weil Du kein Gast bist. - Gruß Klaus
Benutzeravatar
Radiator
aktives Mitglied
aktives Mitglied
Beiträge: 166
Registriert: Mo, 21.02.2011 - 15:34
Geschlecht: männlich
Diagnose: Motorradunfall, Scheuermann, Kyphose
Therapie: Rahmouni mit HT ab 3/2011

Re: Befund MRT

Beitrag von Radiator »

HiHo,
grundsätzlich ist ein MRT bei Kindern immer ganz schön, weil ohne radiologische Strahlenbelastung.
ABER es kann nur einen Teil der WS abbilden und nicht die Ganze und es wird i.d.R. im Liegen angefertigt,
d.h. ohne die Einwirkung von Schwerkraft :(
Besser ist da dieses Ultra low dose Röntgen (EOS) im stehen, dann kan man auch die Skoliosewinkel zuverlässig ausmessen.
Beim MRT hat es ja keine Messwerte dazugegeben.
Also so ist die Info etwas unvollständig.
Sumimasen
aktives Mitglied
aktives Mitglied
Beiträge: 133
Registriert: Di, 07.11.2017 - 11:05
Geschlecht: weiblich
Diagnose: Tochter geb. 08/2010
Skoliose thorakal
09/2016 19°
01/2018 28°
C-Bogen
Röntgen im Korsett 08/2018 14°
02/2019 22° nach 48h ohne Korsett
aktuell Korsett Nr. 7 von Sanomed + Schroth
Therapie: Tocher geb. 12/2014
Skoliose thorakal
12/2019 21°
aktuell Korsett Nr. 3 von Sanomed + Schroth
Wohnort: NRW

Re: Befund MRT

Beitrag von Sumimasen »

Das EOS wird hier aber wahrscheinlich nicht funktionieren, da man - wenn ich es richtig verstanden habe - recht lange ruhig stehen muss und das wird ein 3 1/2 Jahre altes Kind nicht hinbekommen...
Benutzeravatar
Radiator
aktives Mitglied
aktives Mitglied
Beiträge: 166
Registriert: Mo, 21.02.2011 - 15:34
Geschlecht: männlich
Diagnose: Motorradunfall, Scheuermann, Kyphose
Therapie: Rahmouni mit HT ab 3/2011

Re: Befund MRT

Beitrag von Radiator »

Sumimasen hat geschrieben:Das EOS wird hier aber wahrscheinlich nicht funktionieren, da man - wenn ich es richtig verstanden habe - recht lange ruhig stehen muss und das wird ein 3 1/2 Jahre altes Kind nicht hinbekommen...
Das ist leider die Systemlimitation ....
Vermutlich wird kein Weg am "normalen" Röntgen dran vorbeiführen.
Blocks
aktives Mitglied
aktives Mitglied
Beiträge: 173
Registriert: So, 03.12.2017 - 17:43
Geschlecht: weiblich
Diagnose: BSV c5/6; c6/7 th 9/10 Hws Steilstellung/Kyphosierung
Vorwölbungen komplett bunt verteilt, Osteochondrose
Kyphose 76Grad
Lordose 73Grad, Th links grossbogig 29 Grad
Therapie: Normale KG, ambulante Reha klassische WS-Gym, Schroth, Kypho-Skoliose-Korsett von Rahmouni seit 1.12.2017

Re: Befund MRT

Beitrag von Blocks »

Hallo,

Also ein einmaliges Röntgen auch bei einem Kleinkind sollte kein Problem darstellen. Andere Kinder mit anderen Erkrankungen werden sogar viel öfter geröntgt. Auch nach Unfällen etc... klar, immer blöd aber sollte jetzt gemacht werden. Ich selbst hatte mit 8 Jahren einen Unfall 1988, bin stumpf auf den Kopf gekracht und habe ebenfalls so einen Knick im cervicothorakalem Übergang, der sich im Liegen ganz anders darstellt als im entspannten Stehen vor einem Röntgengerät, heißt, mit Schwerkraft...
und ihr wollt ja passende Bilder bekommen die weiterhelfen...obwohl ich das wollen mal in Anführungsstriche setze, es wäre schöner wenn man das alles nicht hätte, ich weiß...
Alles gute und liebe Grüße
AlexandraTobias
Newbie
Newbie
Beiträge: 8
Registriert: So, 18.02.2018 - 12:04
Geschlecht: weiblich

Re: Befund MRT

Beitrag von AlexandraTobias »

Hallo,

Danke schon mal für die bisherigen Antworten.

Ein normales Röntgenbild im Stehen wurde im August 2017 gemacht. Dies war auch ausschlaggebend für das angeordnete MR.

Morgen bekomme ich alle Bilder auf Cd und werde diese dann auch hier hochladen. Ich musse leider auch dazu sagen, dass nie ein Winkel gemessen wurde.

Ich hoffe, dass ihr mir dann trotzdem vielleicht weiterhelfen könnt, wenn ihr die Bilder sehen könnt.

LG
Alexandra
Benutzeravatar
Klaus
Moderator/in
Moderator/in
Beiträge: 15233
Registriert: Mi, 23.06.2004 - 18:36
Geschlecht: männlich
Wohnort: Hannover

Re: Befund MRT

Beitrag von Klaus »

Hallo Alexandra,
Ein normales Röntgenbild im Stehen wurde im August 2017 gemacht..... Ich musse leider auch dazu sagen, dass nie ein Winkel gemessen wurde.
Darauf würde ich aber bestehen.
Morgen bekomme ich alle Bilder auf Cd und werde diese dann auch hier hochladen......Ich hoffe, dass ihr mir dann trotzdem vielleicht weiterhelfen könnt, wenn ihr die Bilder sehen könnt.
Wir können bestenfalls nur Einschätzungen abgeben, die nach meiner Meinung in der Regel immer dazu führen sollten, einen kompetenten Spezialisten aufzusuchen.
viewtopic.php?f=25&t=6472

Gruß
Klaus
AlexandraTobias
Newbie
Newbie
Beiträge: 8
Registriert: So, 18.02.2018 - 12:04
Geschlecht: weiblich

Re: Befund MRT

Beitrag von AlexandraTobias »

Hallo Klaus,

ich weiß nicht ob ihr schon mal etwas über die Krankenhäuser in Südtirol gehört habt. Leider ist es bei uns so, dass sich niemand zuständig fühlt und man im Krankenhaus ständig verschiedene Ärzte hat.

Der Arzt, welcher das Röntgenbild angefordert und angesehen hat, meinte dazu nur:" Oh, das wird sehr wahrscheinlich operiert werden müssen! Wir machen mal besser noch ein MR."

Bei der Befundbesprechung des MR war ein anderer Arzt, welcher meinte: "Ich sehe hier kein Problem. Ein Schmetterlingswirbel verursacht sowieso keine Probleme und der Keilwirbel kann ja noch auswachsen."
Zu den restlichen Angaben des schriftlichen Befundes (zB: was die Skoliose betrifft) hat er kein Wort gesagt und ich habe den Befund leider erst zu Hause durchlesen können.

Deshalb habe ich nochmal einen privaten Termin beim ersten Arzt gemacht, damit mir dieser diese zwei derart unterschiedlichen Aussagen erklärt. Der meinte dann nur, hierzu kann ich ihnen nichts mehr sagen, aber ich überweise sie in die Schönklinik Vogtareuth zu Herrn Prof. Cornelius Wimmer.

Damit war ich zufrieden. Leider müssen wir jetzt privat zu Herrn Prof. Wimmer, da dieser in Vogtareuth keine Termine mehr annimmt.

Deshalb wurde auch nie ein Winkel gemessen. Ich hoffe, dass dies Prof. Wimmer beim anstehenden Termin macht.

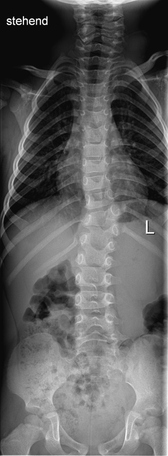
Ich werde jetzt noch versuchen die Bilder anzuhängen, hoffe es funktioniert =)
Dateianhänge
Röntgen.jpg
Röntgenbild vom August 2017, also mit 3 Jahren
(86.79 KiB) Noch nie heruntergeladen
AlexandraTobias
Newbie
Newbie
Beiträge: 8
Registriert: So, 18.02.2018 - 12:04
Geschlecht: weiblich

Re: Befund MRT

Beitrag von AlexandraTobias »

Also das mit dem Röntgen hat funktioniert. Nur leider habe ich keine Ahnung wie ich die jeweiligen Bildserien des MR hochladen kann. Kann mir hier vielleicht jemand weiterhelfen?

Vielen Dank schon mal im Voraus!

LG
Alexandra
kuddelmuddel123
aktives Mitglied
aktives Mitglied
Beiträge: 182
Registriert: Do, 19.11.2015 - 14:27
Geschlecht: weiblich

Re: Befund MRT

Beitrag von kuddelmuddel123 »

Hallo Alexandra,

was meinst Du mit "privat zu Prof. Dr. Wimmer" ?
Hat er neben der Klinik noch eine Privatpraxis, wo ihr hin gehen könntet?
Oder in der Klinik einen privat zu zahlenden Termin?

Nachdem Du von Krankenhäusern in Südtirol schreibst, gehe ich davon aus, dass Ihr in Südtirol lebt und nach den dortigen Regeln versichert seid. Ist da eine Kostenübernahme einer Untersuchung in Deutschland möglich?

Ich selbst war vor 2,5 Jahren in Vogtareuth bei Dr. Schreiber (als 48-jährige nach der Erstdiagnose).
Da gab es eine klare Bewertung des mitgebrachten Röntgenbildes und eine ordentliche Bewertung des Ist-Standes.
Was mir im Rückblick fehlte, war eine Beratung über eine konservative Behandlung - was sollte ich tun und was lassen ?
Nachdem ich davor von Schroth-Übungen im Internet gelesen hatte und danach gefragt habe, hieß es, dass das eine Möglichkeit wäre. Ohne dass ich gefragt hätte, hätte er davon glaube ich nix gesagt.
Zur Verlaufskontrolle (die aufgrund der als Laie in den 10 Jahren vorher beobachtete Entwicklung von keiner Verdrehung zu 20 Grad Verdrehung zwingend erforderlich wäre) hat er sich recht lapidar geäußert. Ich solle die Körpergröße messen. Wenn ich 1 cm kleiner geworden wäre, dann sollte ich wiederkommen. Dann würde er schauen und mich bis ich 2cm geschrumpft sei, wieder nach Hause geschickt. Bei 2 cm wäre dann eine OP zu überlegen... Ich glaube das war auch dem geschuldet, dass es halt eine OP-Klinik ist.
Für mich steht aktuell jedoch die konservative Behandlung an. Eine Op ziehe ich für mich aktuell gar nicht in Betracht, auch z.B. Dr. Steffan in Bad Sobernheim nicht. Dr. Steffan war bei mir auch gegen die Methode abwarten und zum Messen der Körpergröße hat er nur gelacht und dann erklärt, warum.

Was bei Eurem Befund medizinisch angeraten ist, kann ich überhaupt nicht sagen.
Könnt Ihr Euch in Deutschland frei einen Arzt aussuchen mit der Überweisung?
Wenn ja, dann würde ich nach der von Klaus verlinkten Liste jemanden suchen - egal wohin, der Weg ist eh schon nicht kurz. Dann lieber zu einem Spezialisten gehen, der nicht auf OP voreingenommen ist.

VG, Kuddelmuddel
AlexandraTobias
Newbie
Newbie
Beiträge: 8
Registriert: So, 18.02.2018 - 12:04
Geschlecht: weiblich

Re: Befund MRT

Beitrag von AlexandraTobias »

Hallo,

Ka Herr Prof. Wimmer hat noch eine Praxis in welcher er ein mal wöchentlich Privatvisiten macht.
Wir haben uns nun dazu entschieden dort einen Termin wahrzunehmen. Je nach dem was uns dort mitgeteilt wird, werden wir uns von ihm auch einige Empfehlungen geben lassen und ich werde auch die Arztliste von Klaus an unseren Kinderorhopäden weiterleiten.

Bei uns in Südtirol muss ein sogenannter S2 Schein genehmigt werden damit die Kosten von der Krankenkasse übernommen werden. Ich weiß jedoch noch nicht nach welchen Kriterien dies entschieden wird und welche Kliniken dazu in Deutschland zur Verfügung stehen.

Ich würde auch gerne einen Termin mit Dr. Hoffmann in Leonberg ausmachen. Kann mir jemand mitteilen ob dies auch über eine Klinik möglich ist? Ansonsten wird es mit der Kostenübernahme schwierig. Außerdem haben wir dann eine Hin_ und Rückfahrt von jeweils 5 1/2 Stunden und ich muss leider auch die kleine Tochter mitnehmen.

Ich glaube das Beste ist es, die Visite bei Dr. Wimmer abzuwarten und anschließend mit Hilfe des Kinderorthopäden die beste Wahl zu treffen.

LG
Alexandra
Benutzeravatar
Klaus
Moderator/in
Moderator/in
Beiträge: 15233
Registriert: Mi, 23.06.2004 - 18:36
Geschlecht: männlich
Wohnort: Hannover

Re: Befund MRT

Beitrag von Klaus »

Hallo Alexandra,
Ich würde auch gerne einen Termin mit Dr. Hoffmann in Leonberg ausmachen.
Das könnte ein Problem werden, weil der aktuell vor seinem Ruhestand steht und seine Nachfolgerin ihn im März in seiner Praxis begleiten will. Wann er dann aufhört und insbesondere wie kompetent die Nachfolgerin ist, weiß noch keiner.

Da kuddelmuddel Dr. Steffan in Bad Sobernheim erwähnt hat und er Forumsmitglied ist, kannst Du auch versuchen, ihn per PN um eine kurze Stellungnahme zu Deinem Röntgenbild zu bitten. Es macht evtl. auch Sinn, nach den Kosten eines privaten Beratungs-Termins in Bad Sobernheim zu fragen. Ein Röntgenbild ist ja vorhanden und die möglichen Behandlungsoptionen sind dann nur ein Vorschlag, über den man kostenmässig später nachdenken kann.

Gruß
Klaus
Mama69
treues Mitglied
treues Mitglied
Beiträge: 310
Registriert: Mi, 02.04.2014 - 14:11
Geschlecht: weiblich
Diagnose: Ich habe selber Skoliose thorakolumbal 70º.
Meine Tochter (15J.) hat Skoliose thorakolumbal 35º sowie eine noch nicht eindeutig klassifizierte Muskelerkrankung.
Therapie: ich: Schroth, Schmerzkorsett, Manuelle Therapie, Spiraldynamik
Tochter: Schroth, Korsett, Manuelle Therapie
Wohnort: Bayern

Re: Befund MRT

Beitrag von Mama69 »

Prof Wimmer ist eher pro OP eingestellt, dass ist ja sein tägliches Geschäft und darauf ist er spezialisiert.
Fahrt doch nach München zu Dr. Rene Paulus. Kenne keinen besseren Kinder Orthopäden und ist für euch fahrtechnisch günstig. Aber ihr müsst mit Wartezeiten rechnen, er hat hier ein großes Einzugsgebiet und ist sehr gefragt und beliebt. Auch beim Telefonieren braucht ihr Geduld.
Mama69
treues Mitglied
treues Mitglied
Beiträge: 310
Registriert: Mi, 02.04.2014 - 14:11
Geschlecht: weiblich
Diagnose: Ich habe selber Skoliose thorakolumbal 70º.
Meine Tochter (15J.) hat Skoliose thorakolumbal 35º sowie eine noch nicht eindeutig klassifizierte Muskelerkrankung.
Therapie: ich: Schroth, Schmerzkorsett, Manuelle Therapie, Spiraldynamik
Tochter: Schroth, Korsett, Manuelle Therapie
Wohnort: Bayern

Re: Befund MRT

Beitrag von Mama69 »

Meine Befürchtung ist, dass sich knöcherne Fehlbildungen nur schwer konservativ beeinflussen lassen. Ein Korsett z.B. punktgenau auf den bezroffenen Bereich einzustellen bzw der Nutzen auf die Fehlbildung. Evtl gibt es ja in den OP Methoden Unterschiede, z.B. minimalinvasive Methoden oder eine ohne Versteifung (Wirbelaufbau?). Da würde ich mir definitiv mehrere Meinungen einholen.
Man möchte ja auf alle Fälle eine Verschlechterung der Skoliose durch "Abwarten" vermeiden.
Alles Gute!
AlexandraTobias
Newbie
Newbie
Beiträge: 8
Registriert: So, 18.02.2018 - 12:04
Geschlecht: weiblich

Re: Befund MRT

Beitrag von AlexandraTobias »

Hallo Mama69,

ist Dr. Rene Paulus in einer Klinik tätig? Ansonsten müssen wir auch diesen Termin privat wahrnehmen und bekommen so keine Kosten von der Krankenkasse erstattet.

Meiner Meinung nach ist die Krümmung der Skoliose noch nicht so schlimm. Deshalb war mein ursprünglicher Gedanke, dass man vielleicht durch eine OP, in welcher der Keilwirbel korrigiert wird, eine Verschlechterung der Skoliose vermeiden kann. Denn die Skoliose ist meines Erachtens ja nur durch den Keilwirbel entstanden. Somit gleicht die OP wahrscheinlich eh nicht den "normalen" Skoliose OP. In erster Linie müsste ja der Keilwirbel behandelt werden.

Weiters habe ich auch gelesen, dass ein Korsett bei einer Fehlbildung im thorakolumbalen Bereich keine große Erfolge hat. Ich lasse mich aber auch gerne eines besseren belehren.

Wir werden auf alle Fälle mehrere Ärzte konsultieren, bevor wir den Kleinen unters Messer legen sollten. Geht ja um seine gesamte Zukunft.

Vielen Dank für eure Ratschläge! Ihr helft mir wirklich sehr!

LG Alexandra
Benutzeravatar
Klaus
Moderator/in
Moderator/in
Beiträge: 15233
Registriert: Mi, 23.06.2004 - 18:36
Geschlecht: männlich
Wohnort: Hannover

Re: Befund MRT

Beitrag von Klaus »

Hallo Alexandra,

Was würde denn die Krankenkasse im besten Fall bezahlen? Auch die Reisekosten?
Ich denke, dass man für eine private Beratung ca. 80-100 € bezahlen muss.

Gruß
Klaus
AlexandraTobias
Newbie
Newbie
Beiträge: 8
Registriert: So, 18.02.2018 - 12:04
Geschlecht: weiblich

Re: Befund MRT

Beitrag von AlexandraTobias »

Die Krankenkasse glaube ich zahlt nur die Visite.

Grundsätzlich wäre mir nur lieber, wenn man die Visiten auch schon über die Krankenkasse abwickeln könnte, somit wäre eine eventuelle Behandlung durch den Spezialisten auch schon zugesichert. Wenn ich die Visiten alle Privat mache, wird es im Nachhinein nicht einfacher die Krankenkasse für eine bestimmte Klinik zu gewinnen.

Aber es wird uns wohl nichts anders übrig bleiben als Privatvisiten wahrzunehmen... Die Kosten halten sich in Deutschland eh noch in Grenzen. Bei uns kostet eine Facharztvisite ab 140,00 € und meist ist man nachher nicht schlauer. Das einzig positive ist, die kurze Wartezeit.

LG
Alexandra
Mama69
treues Mitglied
treues Mitglied
Beiträge: 310
Registriert: Mi, 02.04.2014 - 14:11
Geschlecht: weiblich
Diagnose: Ich habe selber Skoliose thorakolumbal 70º.
Meine Tochter (15J.) hat Skoliose thorakolumbal 35º sowie eine noch nicht eindeutig klassifizierte Muskelerkrankung.
Therapie: ich: Schroth, Schmerzkorsett, Manuelle Therapie, Spiraldynamik
Tochter: Schroth, Korsett, Manuelle Therapie
Wohnort: Bayern

Re: Befund MRT

Beitrag von Mama69 »

Dr. Paulus ist ein niedergelassener Arzt, er arbeitet in keiner Klinik. Schade für euch.
Benutzeravatar
Sabi
Profi
Profi
Beiträge: 1084
Registriert: Fr, 17.01.2003 - 09:40
Geschlecht: weiblich
Diagnose: Skoliose
Hypermobilität
Spondyloarthritis
Therapie: aktuell Nachtkorsett von Rahmouni
manuelle Therapie
Schroth-KG

Re: Befund MRT

Beitrag von Sabi »

Hallo AlexandraTobias,

ein S2 kann auch für ambulante Behandlungen ausgestellt werden (passsiert sogar öfter als für stationäre Behnadlungen).
Wenn die Kosten bei euch sehr viel höher sind, dürfte es normalerweise kein Peoblem sein, einS2 zu bekommen. So spart die Kasse sogar Kosten.

Ich würde bei der Krankenkasse anrufen, das Anliegen schildern und konkret nach einem S2 fragen.
Wenn sie kein S2 ausstellen, würde ich nach der Möglichkit der Kostenerstattung fragen.
Ein S2 ist auszustellen, wenn im Wohnstaat keine ausreichende Behandlung möglich ist und das scheint bei euch ja der Fall zu sein.

Behandlungen im europäischen Ausland sind durch EU-Verordnungen geregelt (u.a. Patientenmobilitätsrichtlinie).

Liebe Grüße
Sabi
In der Idee leben heißt,
das Unmögliche behandeln,
als wenn es möglich wäre.
Goethe
AlexandraTobias
Newbie
Newbie
Beiträge: 8
Registriert: So, 18.02.2018 - 12:04
Geschlecht: weiblich

Re: Befund MRT

Beitrag von AlexandraTobias »

Hallo Sabi,

Die Assistentin des Kinderorthopäden hat zu mir gesagt, dass der Arzt die Einweisung ausstellen muss und diese muss erst von jemandem genehmigt werden und kommt dann erst zur Krankenkasse welche dies dann absegnen muss und das dauert so um die 10 Tage. Ohne Überweisung vom Kinderarzt komme ich zu gar keinem S2 Schein.

Ich warte jetzt mal den Termin bei Prof. Wimmer ab und werde mich dann je nach Prognose an die Krankenkasse wenden.

Lg
Alexandra
Antworten