Neue Operationstechnik bei infantiler Skoliose?!
Neue Operationstechnik bei infantiler Skoliose?!
Hallo!
Ich hoffe es kann mir wer von euch weiterhelfen. Unserer Tochter 19 Monate steht leider eine OP bevor. Es gibt da jetzt eine neue Operationsmethode, wo die "Begradigung" nicht an der Wirbelsäule, sondern mit Hilfe von Klammern an den Rippen erfolgt. Anschließend bekommt sie dann ein Korsett.
Ende März haben wir einen Termin in Innsruck, wo diese Methode einzigartig in Österreich durchgeführt wird. Näheres wissen wir noch nicht, bzw. konnte uns der Orthopäde wo wir waren noch nicht sagen.
Bitte, kennt irgendwer von euch diese Operationstechnik?
Danke für eure Hilfe
Jenny
Ich hoffe es kann mir wer von euch weiterhelfen. Unserer Tochter 19 Monate steht leider eine OP bevor. Es gibt da jetzt eine neue Operationsmethode, wo die "Begradigung" nicht an der Wirbelsäule, sondern mit Hilfe von Klammern an den Rippen erfolgt. Anschließend bekommt sie dann ein Korsett.
Ende März haben wir einen Termin in Innsruck, wo diese Methode einzigartig in Österreich durchgeführt wird. Näheres wissen wir noch nicht, bzw. konnte uns der Orthopäde wo wir waren noch nicht sagen.
Bitte, kennt irgendwer von euch diese Operationstechnik?
Danke für eure Hilfe
Jenny
- Toni
- Profi

- Beiträge: 4388
- Registriert: Sa, 20.04.2002 - 19:07
- Geschlecht: männlich
- Diagnose: M. Scheuermann Kyphose (urspr. 68°)
M. Baastrup - Therapie: 1 Boston B.O.B.
1 Milwaukee
2 Rahmouni´s
1 TüKO
Und SCHROTHen bis bis die Sprossenwand qualmt und sich die Spiegel krümmen! - Wohnort: Allgäu
Re: Neue Operationstechnik?!
Warum OP? Was ist denn die Diagnose?jenny0102 hat geschrieben:Hallo!
Ich hoffe es kann mir wer von euch weiterhelfen. Unserer Tochter 19 Monate steht leider eine OP bevor.
Congenitale Skoliose?
Wieviel Grad Cobb?
Das kann ich mir ehrlich gesagt gar nicht vorstellen!jenny0102 hat geschrieben:Es gibt da jetzt eine neue Operationsmethode, wo die "Begradigung" nicht an der Wirbelsäule, sondern mit Hilfe von Klammern an den Rippen erfolgt.
Die einzige Klammer-OP-Methode gegen Skoliose, die ich kenne, ist das an Shriner´s Children Hospital USA erfundene "Intervertebral-body-stapling"
http://www.shrinershq.org/whatsnewarch/ ... t8-01.html
Das sieht für Laien so aus als würden die Klammern an den Rippen ansetzen, aber sie werden IN DEN Wirbelkörper eingebracht und sollen den WK spreizen und das spiegelbildliche Gegenteil von Keilwirbeln bilden.
Da aber nach einer Hypothese die Skoliose nicht von den Knochenteilen der WS ausgeht sondern aus einer Wachstumsasymetrie der Muskeln, Sehnen usw... ist möglicherweise die Aufdehnung der WK durch Federstahlklammern der falsche oder unzureichende Ansatz.
Auch Dr. Niemayer, Uniklinik Tübingen hat in einem Referat darüber berichtet. Allerdings waren nach seinen Kenntnissen darüber die Erfahrungen bisher eher negativ! Keine Derotation der WK gegeneinander, da der Eingriff minimalinvasiv erfolgt sehr lange Liegezeit und Röntgenmonitor= sehr hohe Strahlenbelastung, keine Lanzeiterfahrung und nur sehr bescheidene Korrekturwerte.
Es kann aber leicht sein, daß es sich tatsächlich um ein völlig neues Verfahren handelt, das tatsächlich an den Rippen ansetzt. Dann weis ich überhaupt noch gar nix drüber!
Ich kenne einen gerade akuten Fall, wo ein Mädchen aus Tirol von einer Orthopädietechniker, der für die Uniklinik Innsbruck arbeitet, ein verheerend schlechtes und völllig untaugliches Skoliose-Korsett abgeliefert hat. Der Zuständige Arzt der Uniklinik Innsbruck hat es trotzdem als "gut" bbefunden, obwohl es fast gar nicht korrigiert und eine Pelotte sogar in die falsche Richtung gedrückt hat.jenny0102 hat geschrieben:Anschließend bekommt sie dann ein Korsett.
Also ACHTUNG!!! Der Qualitätsstandart im Skoliosekorsettbau ist in Innsbruck nur mit äußerster Vorsicht und unabhängiger Qualitätssicherung zu genießen.
Die Innsbrucker Skoliose-Chirurgen scheinen wahllos zwischen "Nichtstun" veralteten Harrington-OP´s und völlig neuen Experimental-Methoden herumzuhüpfen ohne erkennbare klare Linie und Konzept.
Bitte lasst es EUCH ganz genau alles erklären und verständlich erläutern. Lasst Euch BEWEISE für die Wirksamkeit der methode bringen, am besten Kontakt zu anderen Eltern, die schon Erfahrungen nach dieser methode haben.jenny0102 hat geschrieben: Ende März haben wir einen Termin in Innsruck, wo diese Methode einzigartig in Österreich durchgeführt wird.
Hohlt Euch eine unabhängige Zweitmeinung ein. Eine solche OP-Entscheidung mit einer bisher unbekannten und unerpropten Methode will sehr reiflich überlegt sein. Andererseits können bei Säuglings- und Kleinkind-Skoliose auch ein Monat zögern ein großes Versäumnis sein!
Ich würde Euch raten so schnell wie möglich eure Tochter Bei Dr. Hoffmann in Leonberg vorzustellen und unabhängig von den Innsbruckern mal seine Meinung anzuhören.
jenny0102 hat geschrieben: Näheres wissen wir noch nicht, bzw. konnte uns der Orthopäde wo wir waren noch nicht sagen.
Bitte, kennt irgendwer von euch diese Operationstechnik?
jenny0102 hat geschrieben:
Danke für eure Hilfe
Jenny
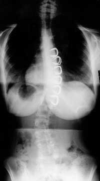
- Dateianhänge
-
- So sieht eine Skoliose mit den Stapling (Klammern) in den WK aus.
- Stapling.jpeg (5.68 KiB) 8582 mal betrachtet
In necessariis unitas, in dubiis libertas, in omnibus caritas!
Hallo!
Beim letzten Röntgen wurde eine Gradzahl von 66°nach Cobb ausgemessen. Ihre Skoliose hat sich verschlechtert obwohl wir seit ihrem 3. Lebensmonat konsequent Physiotherapie nach Vojta und Bobath gemacht haben.
Wir waren in Wien im Orthopädischen Spital in Speißing und der Arzt hat uns gesagt, das sie um eine OP nicht herumkommt, und diese Operationstechnik für so kleine Skoliosepatienten am geeignetesten ist, da man die WS noch nicht versteifen kann. Und so wurden wir nach Innsbruck verwiesen.
Eine Frage, gibt es über diese Operationstechnik auch eine deutsche Web-Site..........mein englisch ist leider nicht besonders...........
Danke nochmals........
Jenny
Beim letzten Röntgen wurde eine Gradzahl von 66°nach Cobb ausgemessen. Ihre Skoliose hat sich verschlechtert obwohl wir seit ihrem 3. Lebensmonat konsequent Physiotherapie nach Vojta und Bobath gemacht haben.
Wir waren in Wien im Orthopädischen Spital in Speißing und der Arzt hat uns gesagt, das sie um eine OP nicht herumkommt, und diese Operationstechnik für so kleine Skoliosepatienten am geeignetesten ist, da man die WS noch nicht versteifen kann. Und so wurden wir nach Innsbruck verwiesen.
Eine Frage, gibt es über diese Operationstechnik auch eine deutsche Web-Site..........mein englisch ist leider nicht besonders...........
Danke nochmals........
Jenny
-
Gast
Babelfish-Übersetzungjenny0102 hat geschrieben:Eine Frage, gibt es über diese Operationstechnik auch eine deutsche Web-Site..........mein englisch ist leider nicht besonders
- Toni
- Profi

- Beiträge: 4388
- Registriert: Sa, 20.04.2002 - 19:07
- Geschlecht: männlich
- Diagnose: M. Scheuermann Kyphose (urspr. 68°)
M. Baastrup - Therapie: 1 Boston B.O.B.
1 Milwaukee
2 Rahmouni´s
1 TüKO
Und SCHROTHen bis bis die Sprossenwand qualmt und sich die Spiegel krümmen! - Wohnort: Allgäu
Leider gibt es davon noch keine deutsche Seite.
Das was die Uniklinik Innsbruck derzeit zum Thema Skoliose im Internet publiziert ist mehr als erbärmlich! Und das obwohl sich der Chef, Prof. Krismer als Vorsitzender von "EURO-SPINE" international sehr "hervortut".
Wenn jemand da etwas drüber weis, weil er sehr auf der Suche nach neuen, immer noch besseren Verfahren und OP-Techniken ist, Dr. Niemayer in Uniklinik Tübingen. Ich schätze ihn hochengagiert, sehr kompetent und so ehrgeizig ein, daß er am liebsten seinen " alten Lehrherrn" Prof. Halm in Neustadt "überflügeln" würde.
Wenn jemand etwas über die allerneuesten OP-Methoden weiß dann er!
Es gibt (allerdings in USA) eine Selbsthilfegruppe von Eltern, deren Kleinkinder von congenitaler infantiler Skoliose betroffen sind.
Obwohl im Shriners Children Hospital das "Stapling" erfunden wurde, wird das dort offensichtlich NICHT an Kleinkindern gemacht! Das wird eher konservativ mit Korsetten und Halo-Traktion versucht aufzuhalten und zu begradigen:
http://infantilescoliosis.org/index.htm
Das beste und wirksamste Korsett auch für infantile Skoliosen bekommt Ihr aber mit größter Wahrscheinlichkeit bei Rahmouni. Er hat auch mit Kleinkindern die meiste Erfahrung.
Den Innsbruckern traue ich nach allem was ich über Innsbruck weiß, keine wirklich innovative Skoliose-OP-Technik zu. Die haben bis voriges Jahr noch Harringtons eingebaut, wie Prof. Zielke seit vor 35 Jahren!
Die eigenen OP-Pfleger warnen die Patienten vor dem OP sich hier operieren zu lassen! Nicht gerade eine Empfehlung!!!!
Bitte holt Euch so SCHNELL WIE MÖGLICH eine 2. Meinung bei Dr. Hoffmann oder dann wenigstens bei Dr. Niemayer. Ich persönlich zweifle ernsthaft daran, daß Euch in diesem Fall in Österreich optimale Behandlung und Hilfe möglich ist.
Gruß Toni
Das was die Uniklinik Innsbruck derzeit zum Thema Skoliose im Internet publiziert ist mehr als erbärmlich! Und das obwohl sich der Chef, Prof. Krismer als Vorsitzender von "EURO-SPINE" international sehr "hervortut".
Wenn jemand da etwas drüber weis, weil er sehr auf der Suche nach neuen, immer noch besseren Verfahren und OP-Techniken ist, Dr. Niemayer in Uniklinik Tübingen. Ich schätze ihn hochengagiert, sehr kompetent und so ehrgeizig ein, daß er am liebsten seinen " alten Lehrherrn" Prof. Halm in Neustadt "überflügeln" würde.
Wenn jemand etwas über die allerneuesten OP-Methoden weiß dann er!
Es gibt (allerdings in USA) eine Selbsthilfegruppe von Eltern, deren Kleinkinder von congenitaler infantiler Skoliose betroffen sind.
Obwohl im Shriners Children Hospital das "Stapling" erfunden wurde, wird das dort offensichtlich NICHT an Kleinkindern gemacht! Das wird eher konservativ mit Korsetten und Halo-Traktion versucht aufzuhalten und zu begradigen:
http://infantilescoliosis.org/index.htm
Das beste und wirksamste Korsett auch für infantile Skoliosen bekommt Ihr aber mit größter Wahrscheinlichkeit bei Rahmouni. Er hat auch mit Kleinkindern die meiste Erfahrung.
Den Innsbruckern traue ich nach allem was ich über Innsbruck weiß, keine wirklich innovative Skoliose-OP-Technik zu. Die haben bis voriges Jahr noch Harringtons eingebaut, wie Prof. Zielke seit vor 35 Jahren!
Die eigenen OP-Pfleger warnen die Patienten vor dem OP sich hier operieren zu lassen! Nicht gerade eine Empfehlung!!!!
Bitte holt Euch so SCHNELL WIE MÖGLICH eine 2. Meinung bei Dr. Hoffmann oder dann wenigstens bei Dr. Niemayer. Ich persönlich zweifle ernsthaft daran, daß Euch in diesem Fall in Österreich optimale Behandlung und Hilfe möglich ist.
Gruß Toni
In necessariis unitas, in dubiis libertas, in omnibus caritas!
Es gibt in der Tat eine neue Methode, bei der eine Art metallener Expander an den Rippen der Konkavseite befestigt wird und diese "aufspannt". Dadurch wird die Kurve aufgebogen. Diese Vorrichtung, VEPTR (Vertical expandable prosthetic titanium rib) genannt, kann in der Länge verstellt werden und dadurch mitwachsen.
Da das Verfahren ziemlich neu ist (es kommt natürlich aus Amerika, nach der experimentellen Pase ist kürzlich die Zulassung erfolgt), kann man noch nicht viel zu Langzeitergebnissen sagen. Trotzdem könnte die Methode erfolgversprechend sein, sie ist auch reversibel, d.h. es erfolgt keine Versteifung, das Wachstum findet weiterhin statt, vielleicht erfolgt sogar eine gute Korrektur der Krümmung, und wenn nicht, könnte man das Metall wieder entfernen. Die Methode soll jedenfalls der wachsenden Lunge Platz zur Entfaltung verschaffen. Das ist ein wichtiges Ziel, denn die Entwicklungsbehinderung der Lunge bei schweren kongenitalen Skoliosen lässt sich später nicht mehr beheben und kann zu erheblichen Atmungsstörungen und starker Herzbelastung führen. Die Amerikaner halten diese "Titanium Rib" für die bahnbrechendste Neuheit in der Skoliosebehandlung seit dem Harringtonstab.
Das erste Krankenhaus, das diese Op's in Europa durchführte, war das Universitätskinderspital Basel. Dort spricht man von sehr guten Ergebnissen bisher.
Grüße, Irma
PS: Korrektur zum Vertebral Body Stapling
Die Klammern pressen den Wirbelkörper auf der Konvexseite zusammen und verhindern dadurch ein weiteres Höhenwachstum auf dieser Seite. Durch das Wachstum der anderen Seite soll sich die Wirbelform normalisieren. Das funktioniert wohl auch, aber die Rotation hat man noch nicht richtig im Griff. Für Krümmungen über 50° ist diese Methode auf keinen Fall geeignet.
Noch ein PS: Neulich wurde (von Aleks) nach Op's bei Erwachsenen ohne Versteifung gefragt. In den USA experimentiert man tatsächlich damit! Und zwar werden aus den keilförmig veränderten Wirbeln quasi entgegengesetzt Keile herausgeschnitten, die Wirbelkörper heilen danach wieder zusammen (fixiert werden sie nur vorübergehend). Diese Methode ist zwar noch nicht "marktfähig", ich halte sie auch erst mal für fragwürdig, da die Rotation und Thoraxdeformität nicht beseitigt wird und flache Krümmungen ohne Rotation bei Erwachsenen vielleicht nicht unbedingt operiert werden müssten. Außerdem müsste man eigentlich die Höhe der Wirbelkörper erhalten, statt einfach nur etwas wegzunehmen. Aber das Feld der operativen Möglichkeiten wird ständig weiter erschlossen.
Da das Verfahren ziemlich neu ist (es kommt natürlich aus Amerika, nach der experimentellen Pase ist kürzlich die Zulassung erfolgt), kann man noch nicht viel zu Langzeitergebnissen sagen. Trotzdem könnte die Methode erfolgversprechend sein, sie ist auch reversibel, d.h. es erfolgt keine Versteifung, das Wachstum findet weiterhin statt, vielleicht erfolgt sogar eine gute Korrektur der Krümmung, und wenn nicht, könnte man das Metall wieder entfernen. Die Methode soll jedenfalls der wachsenden Lunge Platz zur Entfaltung verschaffen. Das ist ein wichtiges Ziel, denn die Entwicklungsbehinderung der Lunge bei schweren kongenitalen Skoliosen lässt sich später nicht mehr beheben und kann zu erheblichen Atmungsstörungen und starker Herzbelastung führen. Die Amerikaner halten diese "Titanium Rib" für die bahnbrechendste Neuheit in der Skoliosebehandlung seit dem Harringtonstab.
Das erste Krankenhaus, das diese Op's in Europa durchführte, war das Universitätskinderspital Basel. Dort spricht man von sehr guten Ergebnissen bisher.
Grüße, Irma
PS: Korrektur zum Vertebral Body Stapling
Die Klammern pressen den Wirbelkörper auf der Konvexseite zusammen und verhindern dadurch ein weiteres Höhenwachstum auf dieser Seite. Durch das Wachstum der anderen Seite soll sich die Wirbelform normalisieren. Das funktioniert wohl auch, aber die Rotation hat man noch nicht richtig im Griff. Für Krümmungen über 50° ist diese Methode auf keinen Fall geeignet.
Noch ein PS: Neulich wurde (von Aleks) nach Op's bei Erwachsenen ohne Versteifung gefragt. In den USA experimentiert man tatsächlich damit! Und zwar werden aus den keilförmig veränderten Wirbeln quasi entgegengesetzt Keile herausgeschnitten, die Wirbelkörper heilen danach wieder zusammen (fixiert werden sie nur vorübergehend). Diese Methode ist zwar noch nicht "marktfähig", ich halte sie auch erst mal für fragwürdig, da die Rotation und Thoraxdeformität nicht beseitigt wird und flache Krümmungen ohne Rotation bei Erwachsenen vielleicht nicht unbedingt operiert werden müssten. Außerdem müsste man eigentlich die Höhe der Wirbelkörper erhalten, statt einfach nur etwas wegzunehmen. Aber das Feld der operativen Möglichkeiten wird ständig weiter erschlossen.
- Toni
- Profi

- Beiträge: 4388
- Registriert: Sa, 20.04.2002 - 19:07
- Geschlecht: männlich
- Diagnose: M. Scheuermann Kyphose (urspr. 68°)
M. Baastrup - Therapie: 1 Boston B.O.B.
1 Milwaukee
2 Rahmouni´s
1 TüKO
Und SCHROTHen bis bis die Sprossenwand qualmt und sich die Spiegel krümmen! - Wohnort: Allgäu
LIEBE IRMA: DANKE!!! Du bist die geheimnisvollste aber kompetenteste Know-How- und Hoffnungsträgerin in unserem Forum. Nochmals VIELEN DANK!!!!
Jetzt wo das Ding durch Dich einen Namen hat ist das google-www voll vom VEPTR!
Das klingt ja sehr gut und hoffnungsvoll!
http://www.fda.gov/cdrh/mda/docs/h030009.html
Gottseidank geht da mal ein bischen was weiter.
Danke für Deine Infos und Berichtigungen!
Gruß Toni
Jetzt wo das Ding durch Dich einen Namen hat ist das google-www voll vom VEPTR!
Das klingt ja sehr gut und hoffnungsvoll!
Hier der Link zur FDA (amerik. Zulassungsbehörde)irma hat geschrieben:Es gibt in der Tat eine neue Methode, bei der eine Art metallener Expander an den Rippen der Konkavseite befestigt wird und diese "aufspannt". Dadurch wird die Kurve aufgebogen. Diese Vorrichtung, VEPTR (Vertical expandable prosthetic titanium rib) genannt, kann in der Länge verstellt werden und dadurch mitwachsen.
Da das Verfahren ziemlich neu ist (es kommt natürlich aus Amerika, nach der experimentellen Pase ist kürzlich die Zulassung erfolgt),
http://www.fda.gov/cdrh/mda/docs/h030009.html
Also hat wieder mal Prof. Hefti und sein Team die Nase vorn!irma hat geschrieben:
Das erste Krankenhaus, das diese Op's in Europa durchführte, war das Universitätskinderspital beider Basel. Dort spricht man von sehr guten Ergebnissen bisher.
Grüße, Irma
Wird das so ähnlich nicht auch schon bei operativer Aufrichtung von M. Bechterew schon lange so gemacht, aber mit sagittaler Keilumkehr?irma hat geschrieben:
PS: Korrektur zum Vertebral Body Stapling
Die Klammern pressen den Wirbelkörper auf der Konvexseite zusammen und verhindern dadurch ein weiteres Höhenwachstum auf dieser Seite. Durch das Wachstum der anderen Seite soll sich die Wirbelform normalisieren. Das funktioniert wohl auch, aber die Rotation hat man noch nicht richtig im Griff. Für Krümmungen über 50° ist diese Methode auf keinen Fall geeignet.
Noch ein PS: Neulich wurde (von Aleks) nach Op's bei Erwachsenen ohne Versteifung gefragt. In den USA experimentiert man tatsächlich damit! Und zwar werden aus den keilförmig veränderten Wirbeln quasi entgegengesetzt Keile herausgeschnitten, die Wirbelkörper heilen danach wieder zusammen (fixiert werden sie nur vorübergehend). Diese Methode ist zwar noch nicht "marktfähig",
irma hat geschrieben: ich halte sie auch erst mal für fragwürdig, da die Rotation und Thoraxdeformität nicht beseitigt wird und flache Krümmungen ohne Rotation bei Erwachsenen vielleicht nicht unbedingt operiert werden müssten. Außerdem müsste man eigentlich die Höhe der Wirbelkörper erhalten, statt einfach nur etwas wegzunehmen. Aber das Feld der operativen Möglichkeiten wird ständig weiter erschlossen.
Gottseidank geht da mal ein bischen was weiter.
Danke für Deine Infos und Berichtigungen!
Gruß Toni
- Dateianhänge
-
- VEPTR.jpg (22.43 KiB) 8460 mal betrachtet
In necessariis unitas, in dubiis libertas, in omnibus caritas!
- Silas
- Profi

- Beiträge: 3067
- Registriert: Sa, 06.11.2004 - 23:34
- Geschlecht: weiblich
- Therapie: Rahmouni Korsett
Schroth KG
Hallo Irma,
vielen Dank für Deinen äußerst interessanten, geradezu revolutionären Beitrag.
Diese neue Methode hört sich wirklich hervorragend an - gerade für Säuglingsskoliosen bzw. Skoliosen, die sehr früh operiert werden müssen.
Ein mitwachsendes Instrumentarium wäre DIE Lösung. Die bisherigen OP-Techniken sind zwar durchaus erfolgreich, haben aber auch massive Nachteile, da quasi zum Begradigen Kaputtmachen notwendig ist.
Durch solch ein flexibles System könnte man erstmals von echter Heilung sprechen. Falls Du zu diesem Thema bereits etwas in Zeitschriften oder Literatur gefunden hast, würde ich mich sehr dafür interessieren.
Es würde mich sehr freuen, wenn Du weiter über diese OP-Technik berichten könntest, da ich einige Betroffene kenne, die eine konventionelle OP bei ihrem Kleinkind ablehnen und für die das VEPTR eine hervorragende Lösung wäre.
Viele Grüße
Silas
vielen Dank für Deinen äußerst interessanten, geradezu revolutionären Beitrag.
Diese neue Methode hört sich wirklich hervorragend an - gerade für Säuglingsskoliosen bzw. Skoliosen, die sehr früh operiert werden müssen.
Ein mitwachsendes Instrumentarium wäre DIE Lösung. Die bisherigen OP-Techniken sind zwar durchaus erfolgreich, haben aber auch massive Nachteile, da quasi zum Begradigen Kaputtmachen notwendig ist.
Durch solch ein flexibles System könnte man erstmals von echter Heilung sprechen. Falls Du zu diesem Thema bereits etwas in Zeitschriften oder Literatur gefunden hast, würde ich mich sehr dafür interessieren.
Es würde mich sehr freuen, wenn Du weiter über diese OP-Technik berichten könntest, da ich einige Betroffene kenne, die eine konventionelle OP bei ihrem Kleinkind ablehnen und für die das VEPTR eine hervorragende Lösung wäre.
Viele Grüße
Silas
"Man kann nicht beweisen, dass Gott nicht existiert. Aber die Wissenschaft macht Gott überflüssig."
(Stephen Hawking)
(Stephen Hawking)
Hallo,
schönen Dank für die Blumen. Freu mich, dass ich hier etwas Neues beitragen kann
Es gibt schon mitwachsende Teleskopstäbe, die z. B. bei Kindern mit Lähmungsskoliosen verwendet werden (z.B. von Dr. Naumann an der Hessing- Klinik in Augsburg ). Bei Säuglingen ist es wegen der geringen Größe der Wirbel wohl eher nicht möglich, so etwas einzusetzen. Außerdem sind bei kongenitalen Skoliosen die Wirbel oft mißgebildet. Die Rippen können teilweise miteinander verwachsen sein. Eine Vorrichtung, die den Brustkorb weitet und den Lungen Raum für die Entwicklung verschafft, wie diese VEPTR, macht schon Sinn.
Übrigens muss zur Verlängerung des Implantates doch etwa alle 6 Monate ein kleiner Eingriff gemacht werden.
Aus Basel (Prof. Hefti) ist zu hören, dass bei schweren kongenitalen Skoliosen diese Behandlung jeder anderen Methode momentan überlegen zu sein scheint.
Beide Verfahren haben natürlich auch ihre Risiken und ersparen den betroffenen Kindern vielleicht nicht, irgendwann doch noch versteift werden zu müssen. Aber sie sind doch eine Hilfe, einigermaßen korrigiert durch die Wachstumszeit zu kommen.
Silas, angeborene Skoliosen können sehr unterschiedlich sein, mit oder ohne Halbwirbel, Spangenbildung zwischen den Wirbeln, Verwachsungen der Rippen usw. Die Behandlung (verschiedene Op- Methoden oder/und Korsett, Vojta...) muss auf den jeweiligen Einzelfall abgestimmt werden.
Deutsche Kliniken, die die "Titanium Rib" verwenden (stehen auf der Website der amerikanischen Selbsthilfegruppe veptr.com): das Altonaer Kinderkrankenhaus in Hamburg und die Uniklinik Düsseldorf.
Viele Grüße, Irma
schönen Dank für die Blumen. Freu mich, dass ich hier etwas Neues beitragen kann
Es gibt schon mitwachsende Teleskopstäbe, die z. B. bei Kindern mit Lähmungsskoliosen verwendet werden (z.B. von Dr. Naumann an der Hessing- Klinik in Augsburg ). Bei Säuglingen ist es wegen der geringen Größe der Wirbel wohl eher nicht möglich, so etwas einzusetzen. Außerdem sind bei kongenitalen Skoliosen die Wirbel oft mißgebildet. Die Rippen können teilweise miteinander verwachsen sein. Eine Vorrichtung, die den Brustkorb weitet und den Lungen Raum für die Entwicklung verschafft, wie diese VEPTR, macht schon Sinn.
Übrigens muss zur Verlängerung des Implantates doch etwa alle 6 Monate ein kleiner Eingriff gemacht werden.
Aus Basel (Prof. Hefti) ist zu hören, dass bei schweren kongenitalen Skoliosen diese Behandlung jeder anderen Methode momentan überlegen zu sein scheint.
Beide Verfahren haben natürlich auch ihre Risiken und ersparen den betroffenen Kindern vielleicht nicht, irgendwann doch noch versteift werden zu müssen. Aber sie sind doch eine Hilfe, einigermaßen korrigiert durch die Wachstumszeit zu kommen.
Silas, angeborene Skoliosen können sehr unterschiedlich sein, mit oder ohne Halbwirbel, Spangenbildung zwischen den Wirbeln, Verwachsungen der Rippen usw. Die Behandlung (verschiedene Op- Methoden oder/und Korsett, Vojta...) muss auf den jeweiligen Einzelfall abgestimmt werden.
Deutsche Kliniken, die die "Titanium Rib" verwenden (stehen auf der Website der amerikanischen Selbsthilfegruppe veptr.com): das Altonaer Kinderkrankenhaus in Hamburg und die Uniklinik Düsseldorf.
Viele Grüße, Irma
-
Gast
hallo !
kann hiermit toni nur zustimmen in sachen neue op-methoden sich mal an Dr. niemeyer in tübingen zu wenden.bin selbst von ihm operiert worden und schätze ihn sehr. für mich persönlich ist er nicht einer der besten sondern DER BESTE!!!! Er hat ein wahnsinniges fachwissen,erklärt einfach und verständlich und ist ständig auf der suche nach neuem.
Wenn jemand was innovatives in sachen skoliose op und behandlungen weis-dann er!
Lg susanne
kann hiermit toni nur zustimmen in sachen neue op-methoden sich mal an Dr. niemeyer in tübingen zu wenden.bin selbst von ihm operiert worden und schätze ihn sehr. für mich persönlich ist er nicht einer der besten sondern DER BESTE!!!! Er hat ein wahnsinniges fachwissen,erklärt einfach und verständlich und ist ständig auf der suche nach neuem.
Wenn jemand was innovatives in sachen skoliose op und behandlungen weis-dann er!
Lg susanne
-
Martina (net eingelogt)
Hallo,
habe zum Thema Behandlung von kleinen Kindern gerade ein paar interessante Sachen gefunden, die ich euch nicht vorenthalten will:
http://www.scoliosis.org/forum/showthread.php?t=393
http://www.scoliosis.org/forum/showthread.php?t=379
Die Seiten sind leider auf englisch. Im wesentlichen geht es darum, dass bei sehr kleinen Kindern sehr häufig und - wie die Fotos beweisen - auch mit Erfolg Gips-Korsette zum Einsatz kommen. Als wesentlicher Vorteil wird vor allem angeführt, dass sie nicht abgenommen werden können.
Ich weiß, dass hier von "Ami-Methoden"
nicht viel gehalten wird und was sonst so über Korsett aus Amerika berichtet wird, überzeugt mich auch nicht, aber bei dieser Methode gibt es scheinbar wirklich die Möglichkeit, dass das Kind nur ein paar Jahre das Korsett benötigt und danach die Wirbelsäule dauerhaft gerade bleibt.
Ich persönlich weiß zwar noch immer nicht, warum dieses Ergebnis nicht auch mit einem "normalen" Korsett zu erreichen sein soll, aber ich denke, dass diese Berichte Eltern Hoffnung geben können, dass ihre Kleinen nach einer gewissen Zeit durchaus eine korsettlose Kindheit und Jugend haben können.
Wenn ich das so lese, dann verstehe ich eigentlich überhaupt nicht mehr, warum es nötig sein soll, dass Kleinkinder - fast noch Babies - operiert werden müssen. Vor allem am Beginn es Lebens haben sie ja einen enormen Wachstumsschub, den man wunderbar für die Korrektur verwenden kann - wie der Bereicht zeigt auch bei sehr hochgradigen Skoliosen.
lg,
Martina
habe zum Thema Behandlung von kleinen Kindern gerade ein paar interessante Sachen gefunden, die ich euch nicht vorenthalten will:
http://www.scoliosis.org/forum/showthread.php?t=393
http://www.scoliosis.org/forum/showthread.php?t=379
Die Seiten sind leider auf englisch. Im wesentlichen geht es darum, dass bei sehr kleinen Kindern sehr häufig und - wie die Fotos beweisen - auch mit Erfolg Gips-Korsette zum Einsatz kommen. Als wesentlicher Vorteil wird vor allem angeführt, dass sie nicht abgenommen werden können.
Ich weiß, dass hier von "Ami-Methoden"
Ich persönlich weiß zwar noch immer nicht, warum dieses Ergebnis nicht auch mit einem "normalen" Korsett zu erreichen sein soll, aber ich denke, dass diese Berichte Eltern Hoffnung geben können, dass ihre Kleinen nach einer gewissen Zeit durchaus eine korsettlose Kindheit und Jugend haben können.
Wenn ich das so lese, dann verstehe ich eigentlich überhaupt nicht mehr, warum es nötig sein soll, dass Kleinkinder - fast noch Babies - operiert werden müssen. Vor allem am Beginn es Lebens haben sie ja einen enormen Wachstumsschub, den man wunderbar für die Korrektur verwenden kann - wie der Bereicht zeigt auch bei sehr hochgradigen Skoliosen.
lg,
Martina


