Hab da was interessantes gefunden

Fragen zum Thema Wirbelsäulen OP's
Antworten
Daniela
aktives Mitglied
aktives Mitglied
Beiträge: 210
Registriert: Fr, 27.12.2002 - 00:00
Wohnort: Tirol

Hab da was interessantes gefunden

Beitrag von Daniela »

Nicht, dass ich mich jetzt wieder für eine Operation interessiere , aber im Internet steht doch manchmal was neues.

Hier zum Beispiel:
Neues Implantat ermöglicht mehr Flexibilität nach Wirbelsäulen-Op
Leiter der Orthopädie am LKH Feldkirch entwickelte ein "Schrauben-Stab-System"

Eine neue Implantatsgeneration bei Wirbelsäulenoperationen wird an der Orthopädie Feldkirch erfolgreich eingesetzt. Entwickelt wurde dieses Implantat vom Leiter der Abteilung, Prof. DDr. Archibald von Strempel. Nun wurden erstmals internationale und österreichische Wirbelsäulen-Spezialisten zum Erfahrungsaustausch nach Feldkirch geladen.

Eine Wirbelsäulenoperation wird dann als Behandlung angewandt, wenn die Wirbelsäule aufgrund von starker Abnützung degenerative Veränderungen aufweist und der Patient deshalb unter starken Schmerzen leidet. Sie soll die Stellung der verformten Wirbelsäule korrigieren.
Bereits 1990 hatte Prof. DDr. Archibald von Strempel, Leiter der Orthopädie Feldkirch, die Idee eines dynamischen Implantats für die Wirbelsäule. Umsetzung und Erfolg dieser Idee war unter anderem Thema beim ersten internationalen Wirbelsäulen-Symposium in Feldkirch. "Wenn Sie sich einen Baum ansehen, wird klar, was mit flexibler Tragkraft gemeint ist", meint der Spezialist. Der Baum sei nicht rigide und hart, um die Last zu tragen, sondern müsse über eine gewisse Elastizität verfügen, um das Gewicht bei Bedarf auszugleichen.
Nach dem gleichen Prinzip funktioniert auch die Wirbelsäule. Um ihre Elastizität und Dynamik zu erhalten, hat der Orthopäde und Ingenieur eine neue Implantatsgeneration entwickelt, mit welcher er am LKH Feldkirch erfolgreich operiert: Um die Wirbelsäule elastisch zu halten, werden in die einzelnen Wirbel Spezialschrauben eingesetzt.

Dynamische Schraubenköpfe

Am Schraubenkopf ist ein beweglicher Metallteil angebracht, durch welchen nach dem Einbringen der Schrauben in die Wirbel zwei Stäbe parallel zur Wirbelsäule eingeführt werden. Es müssen zur Stabilität mindestens vier Schrauben eingesetzt werden. Die Schraubenanzahl ist abhängig von jener der verformten und schmerzhaften Segmente. Dieses Schrauben-Stab-System wirkt wie ein inneres Korsett, erhält aber durch die dynamischen Schraubenköpfe die Elastizität der Wirbelsäule.
Das Einsetzen dieses dynamischen Implantats (Cosmic-System) dauert unter normalen Umständen zirka zwei Stunden. Durch eine besonders schonende Operationsmethode erholt sich der Körper schnell.
Bei gutem Verlauf kann der Patient bereits am nächsten Tag aufstehen, nach zirka sieben Tagen kann er nachhause - im Vergleich zu den herkömmlichen Techniken, bei denen die Verweildauer im Krankenhaus bis zu 17 Tagen dauerte. Den größten Vorteil sehen von Strempel und seine Patienten darin, dass das Cosmic-System die Elastizität der Wirbelsäule und dadurch benachbarte Bandscheiben geschont bleiben.
Nachdem von Strempel seine Idee auch technisch geplant und umgesetzt hatte, wird das Implantat nun am LKH Feldkirch erfolgreich seit eineinhalb Jahren eingesetzt, zirka 60 Orthopädie-Patienten leben bereits mit neuem Implantat.

Daniela
Tialine
aktives Mitglied
aktives Mitglied
Beiträge: 160
Registriert: Di, 15.04.2003 - 16:36
Wohnort: Köln

Elastische Implantate

Beitrag von Tialine »

Liebe Daniela,
über diesen Prof. von Strempel habe ich schon vor Jahren in einer Zeitschrift gelesen, dass er Skoliosen operiert, und zwar war er da im Annastift in Hannover.
Es scheint, etwas ganz Neues zu sein.

Liebe Grüsse Tialine
Benutzeravatar
Damien
aktives Mitglied
aktives Mitglied
Beiträge: 104
Registriert: Do, 26.06.2003 - 21:42
Wohnort: Fürth, Bayern
Kontaktdaten:

Beitrag von Damien »

Mag sein, dass ich grad ein wenig auf der Leitung stehe, aber welche Vorteile bringt dieses neue Verfahren denn nun genau?

Am Schraubenkopf ist ein beweglicher Metallteil angebracht, durch welchen nach dem Einbringen der Schrauben in die Wirbel zwei Stäbe parallel zur Wirbelsäule eingeführt werden. Es müssen zur Stabilität mindestens vier Schrauben eingesetzt werden. Die Schraubenanzahl ist abhängig von jener der verformten und schmerzhaften Segmente. Dieses Schrauben-Stab-System wirkt wie ein inneres Korsett, erhält aber durch die dynamischen Schraubenköpfe die Elastizität der Wirbelsäule.


Wie genau soll das gehen? Wären die Wirbel nach dieser Methode dann noch voll beweglich wie bei einem nicht operierten, oder wie ist das mit der Flexibilität zu verstehen? Durch die dennoch eingesetzen Doppelstäbe müsste die WS aber ja dennoch versteift sein, oder?
Sorry, wenn ich so dumm Frage, bin zwar schon operiert, aber interessieren würde mich das ganze trotzdem (habe ja bereits mal einen Post zum Thema "bewegliche Implantate" gestartet, der leider nicht groß beachtet wurde :nein:).
Tu erst das Notwendige,
dann das Mögliche,
und plötzlich schaffst du das Unmögliche
Daniela
aktives Mitglied
aktives Mitglied
Beiträge: 210
Registriert: Fr, 27.12.2002 - 00:00
Wohnort: Tirol

Beitrag von Daniela »

Hallo Tialine!
Das muss aber wirklich schon ewig lange her gewesen sein, weil der jetzt seit längerer Zeit (ich weiß leider nicht wieviele Jahre) in Österreich operiert.

Hallo Damien!
Ich hab absolut keinen Schimmer was für Vorteile das ganze haben könnte. Hab das einfach mal gefunden und hab mir gedacht: "Na das kannste ja mal hier reinposten."

Daniela
Daniela
aktives Mitglied
aktives Mitglied
Beiträge: 210
Registriert: Fr, 27.12.2002 - 00:00
Wohnort: Tirol

Beitrag von Daniela »

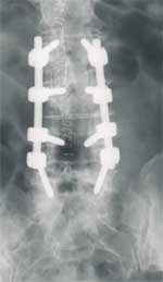
Hier, so soll das nachher ausschauen.

Schöne Grüße

Daniela
Dateianhänge
strempel-impl-roe.jpg
strempel-impl-roe.jpg (4.07 KiB) 6921 mal betrachtet
Gast

Beitrag von Gast »

und wo soll da jetzt der große unterschied zu den anderen arten sein?! versteh ich nich :/
Daniela
aktives Mitglied
aktives Mitglied
Beiträge: 210
Registriert: Fr, 27.12.2002 - 00:00
Wohnort: Tirol

Beitrag von Daniela »

Um ihre Elastizität und Dynamik zu erhalten, hat der Orthopäde und Ingenieur eine neue Implantatsgeneration entwickelt, mit welcher er am LKH Feldkirch erfolgreich operiert: Um die Wirbelsäule elastisch zu halten, werden in die einzelnen Wirbel Spezialschrauben eingesetzt.

Hier stehts, du musst nur den ganzen Artikel durchlesen.

Schöne Grüße

Daniela
Gast

Beitrag von Gast »

ich hab alles (!) gelesen :rolleyes:
aber da ich mich immernoch mit meinem korsett rumquäle kann es mir zur zeit eh sch*** egal sein....ich frag dann auch bestimmt nichts mehr wenns dich beruhigt
Berndt

Operation ja ... nein ?

Beitrag von Berndt »

Hallo Daniela,
ich hab Deinen Artikel gelesen und bin mir sicher, dass neben mir auch andere davon profitieren. Ich jedenfalls versuche soviel wie moeglich Info ueber Operationsmethoden zu erhalten, da es bei mir nun langsam Zeit wird, dass ich unter's Messer komme.

Nochmals Danke fuer Deine Muehen

Gruss Berndt
Antworten