meine wunderbare höllische höllenfahrt

Alles zur Korsett-Therapie für Jugendliche und Erwachsene bei Skoliose, Morbus Scheuermann, Kyphose ...
Antworten
katrin16
Vielschreiber
Vielschreiber
Beiträge: 629
Registriert: Do, 25.05.2006 - 16:26
Wohnort: Vaals
Kontaktdaten:

meine wunderbare höllische höllenfahrt

Beitrag von katrin16 »

Hallo,

ich erzähl jetzt mal von meiner Höllenfahrt gestern.
Ich kam mit meinem Vater bei Rahmouni an und erzählte ihm erst mal von dem Problem weshalb wir da wären, das da unten was weg muss wegen den Schmerzen. Er meinte das würde nicht gehen. NA toll dachte ich zuerst..warum sind wir eigentlich gekommen? Naja dann fragte er mich ob wir denn ein bisschen mehr Druck ins Korsett machen sollen. Als ich das natürlich bejate (gibts das wort so?) meinte er er würde dann zu der 1,2 Zentimeter dicken pellote noch o,5 bis 0,7 dazu tun. Oh gott wenn ich dran denke das die jetzt vielleicht 1,9 zentimeter dick ist. Aber ich wollte mir meine leichte Panik nicht anmerken lassen und blieb gaaanz tapfer :D ...gut aufpellotiert und dann rein ins korsett. War etwas verwundert das Rahmouni es nur bis zu den normalen strichen zugezogen hat und kein bisschen enger, dachte mir aber mit der dickeren pellote wird das hart genug. Zum schluss meinte eine helferin von rahmouni zu mir (mir kams fast schon ein bisschen mitleidid vor^^ ich könnte es direkt nach dem röntgen ausziehen.

Dann gings los zu Dr. Hoffmann. MEin VAter und ich wurden zusammen mit einem Mädchen und ihrer Mutter (die auch zum röntgen musste rübergefahren.Unterwegs dachte ich zuerst sehr glücklich das es ganz und gar nicht höllich wäre und hab mich schon über dieses "Kinderspiel" gefreut.

Was soll ich sagen..bitter geirrt hab ich mich.
Irgendwann wurde der Druck unerträglich und ich musste mich zwingen ruhig zu atmen. Mein VAter hat die Zeit über im Auto seelenruhig geschlafen :< ^^ Bei dr. Hoffmann angekommen sind wir die Treppe hochgespurtet. Ich kam zuerst dran beim röntgen, und bin auch direkt dran gekommen. Es wurde nur kurz gefragt ob es sich um röntgen im korsett handele..da schien man dann mitleid zu haben ;)

Im röngten raum bekam ich dann eine 2 zentimer dicke holzplatte unter den fuß. Es kam mir aber komisch vor weil mein anderes bein dann in der luft hing. Die Arzthelferin hat also bei Rahmouni nochmal angerufen. Kurzzeitig bekam ich den gedanken sie zu erwürgen. Aber die arme Frau kann ja auch nichts dafür ;)

Gut geröngt und dann sofort das Korsett lockerer gemacht. Ich lebte noch :) Ab ins Wartezimmer, wo mein Vater und die Mutter des Mädchen sich unterhielten. Wir 2 kamen dann nach dem röntgen auch dazu.
Ich hab ihnen übrigens die Forumsadresse gegeben :D ...bin ja mal gespannt ob sie sich hier melden :)

Dann kam der große Moment. Das ausgemessene Röntgenbild.
Und ich habe SUPER WERTE. Von 92 Grad auf 63 Grad :) :) :)
Wenn meine mathematichen fähigkeiten mich nicht total verlassen haben sind das 33 Prozent ungefähr. Viel besser als ich dachte :)

Überglücklich gings zurück nach Stuttgart. Rahmouni war total zufrieden. Er meinte er hätte bei dem Korsett noch keine maximale Korrektur versucht, und da wären 63 grad schon super :). Am schluss hat er das Korsett dann unten doch noch ein bisschen aufgebogen (deshalb waren wir ja eigentlich hingefahren). Ich habs dann aber noch die ganze Zugfahrt angelassen :) allerdings nur halb zu. das ging echt gar nicht anders mit dieser hammerpellote. Aber immer wieder musste ich mir dieses total coole röntgenbild angucken. Ich bin sooo glücklich :)

lg
Benutzeravatar
Charp
Vielschreiber
Vielschreiber
Beiträge: 548
Registriert: Mi, 03.08.2005 - 13:21
Geschlecht: weiblich
Diagnose: juvenile Skoliose, 47° thorakolumbal
Wohnort: Niedersachsen

Beitrag von Charp »

Hallo Katrin,

das freut mich mit den tollen Werten :D :rahmouni:

Ich hoffe, das Aufbiegen verschafft diesem k*ck Lipom etwas "Luft"/Raum... So eine blöde Geschichte...

Ich freu mich echt so! :ja: :ja:

Liebe Grüße,
Charp
Benutzeravatar
Emily
Vielschreiber
Vielschreiber
Beiträge: 527
Registriert: Do, 13.05.2004 - 17:29
Wohnort: Luzern (Schweiz)
Kontaktdaten:

Beitrag von Emily »

Hey Katrin!

Deine Werte sind super! Ich denke da wird Rahmouni irgendwann auch noch mehr rausholen können, sobald es Dir leichter fällt, das Korsi zu tragen.

Geht es denn jetzt besser, wenn es aufgebogen ist?
Grüssle
--Emily
katrin16
Vielschreiber
Vielschreiber
Beiträge: 629
Registriert: Do, 25.05.2006 - 16:26
Wohnort: Vaals
Kontaktdaten:

Beitrag von katrin16 »

Hallo,
also es geht ein bisschen besser mit dem Lipom, aber so richtig noch nicht. Ich warte noch was ab, ansonsten schick ich das Korsett per post nochmal hin.
Ich weiß gar nicht wieso Rahmouni das Korsett nicht so korrigierend macht wie es geht. Aber das hat er auch schon vor den Problemen mit dem Lipom nicht gemacht. Vielleicht kommt das wenn ich es mal längere zeit ohne probleme 23 stunden tragen kann.
lg
*Merle*

Beitrag von *Merle* »

Hallo Katrin!
Bei mir kam damals bei der Höllenfahrt eine Korrektur von 91° auf 55° raus. Allerdings hat Rahmouni da schon fast alles rausgeholt was ging. Durch die starke Aufpellotierung hatte ich aber in der Folgezeit solche Schmerzen und Probleme, dass ich das Korsett damals kaum mehr als 5 Stunden am Tag tragen konnte. Jetzt hat er den Druck abgemildert und schon konnte ich die Tragezeit beachtlich erhöhen. Insofern ist es bei so hohen Gradzahlen denke ich manchmal besser nicht gleich das Maximum zu versuchen, sondern sich langsam ranzutasten.
lg
Benutzeravatar
Dalia
Co-Admin
Co-Admin
Beiträge: 10332
Registriert: So, 10.08.2003 - 12:48
Geschlecht: weiblich
Diagnose: 107° und 98° (im Jahr 2003 zu Beginn der Korsetttherapie: 98° und 93°), sehr starre Skoliose, kaum Beschwerden
Therapie: 1983-1994 Korsetts verschiedener OTs, zuletzt bei Rahmouni, dann Korsettabschulung im Jahr 1994, seit 05/2005 bis etwa 2018 Nachtkorsett von Rahmouni, Therapieziel: Halten der Skoliose, seit 2018 keine Therapie mehr
Wohnort: NRW

Beitrag von Dalia »

Hallo Katrin,

WOOOOOOW!!!

Ich klickte den Thread recht hoffnungsvoll an, als ich den Threadtitel las. Du hast es vielleicht spannend gemacht!

Ich freue mich über jedes mindestens halbwegs vernünftige Korrekturergebnis, aber ich habe mich selten über solche Korrekturwerte wie die deinen gefreut! Ich habe nachgerechnet, es ist eine Gesamtkorrektur von 31,5 %, oder wenn du so willst, von 32 %!

:freude: :musik: :jump: : :blume: :flower: :musik: :jump: :freude:

Noch dazu wo Rahmouni nicht aufs Ganze ging, wie er sagte.

:grinsevil:

Jetzt wünsche ich dir sehr von Herzen, dass du dieses blöde Lipom-Problem lösen und deine Tragezeit steigern kannst.
Ich kann dem Leben nicht mehr Tage geben, aber dem Tag mehr Leben. (Bertolt Brecht)
meine Geschichte: Dalia wird Königin (Korsett für eine Oldie-Power-Skoliose)
katrin16
Vielschreiber
Vielschreiber
Beiträge: 629
Registriert: Do, 25.05.2006 - 16:26
Wohnort: Vaals
Kontaktdaten:

Beitrag von katrin16 »

Hallo,
danke :)
erst wollt ich die Werte ganz an den Anfang schreiben, dann dachte ich aber das ist ja langweilig ;)
Ich finds einfach nur sooo super und musste das direkt heute mal den 2 mädchen aus meiner stufe erzählen die auch skoliose haben. DIe eine konnte es gar nicht fassen das ein korsett so gut korrigieren kann ;)
sie hatte so ein plastikmüss ding das von 40 grad auf 35 oder so korrigierte.
Das ist echt ne motivation die ergebnisse, mein vater meinte ich soll mir das röntgenbild in meinem zimmer aufhängen :D
Als rahmouni von einem mehr stützenden korsett sprach hab ich jetzt nicht sowas erwartet. Genauso wenig wie bei dir^^. Ab jetzt nehmen wir ihm nicht mehr ab wenn er nur von stützender wirkung redet ;)
aber ich frage mich wann er denn jetzt richtig loslegen will bei mir.
aber im moment reicht mir die aufpellotierung..hätte nicht gedacht das 5-7 millimeter sooo einen unterschied machen.
im moment ist ein französicher austauschschüler bei meinem bruder..und er meinte einer aus seiner klasse hat skoliose und trägt auch ein korsett. Ich werd den mal fragen ob der eine auch im moment mit in deutschland ist :) nur interesse halber^^
so ich werd mich jetzt mal wieder in schale werfen, lipom ist wieder abgeschwollen :)
ich bin soooooooooo glücklich :)
Benutzeravatar
mama41
aktives Mitglied
aktives Mitglied
Beiträge: 214
Registriert: Do, 07.09.2006 - 12:53
Geschlecht: weiblich
Diagnose: Tochter (1995) mit unbehandelter Skoliose ca. 40°
Wohnort: Lkr. Böblingen

Beitrag von mama41 »

Hallo Katrin,

eigentlich wollte ich nur schnell die neuesten Beiträge lesen und dann ab ins Bett. Aber bei deinem tollen Ergebnis muss ich meine Glückwünsche doch gleich anbringen.

Drück dir auch ganz fest die Daumen, dass das Lipom dich allmählich in Ruhe lässt.

Ich freue mich echt rießig mit dir

LG
Andrea
Benutzeravatar
*Honey-Bunny_Betze*
treues Mitglied
treues Mitglied
Beiträge: 311
Registriert: Mi, 13.12.2006 - 19:18
Wohnort: Heilbronn
Kontaktdaten:

Beitrag von *Honey-Bunny_Betze* »

Hallo Katrin!
Deine Werte sind echt super,die allerliebsten Glückwünsche auch von mir :knuddel: Ich wünsch dir ganz viel Kraft mit dem Korsett :)
Viele Grüße,
Bettina
Bin grad noch in der Schule und schreib da am Rechner, hehe.
Ich habe viel in der Krankheit gelernt, das ich niemals in meinem Leben hätte lernen können.
[b]Goethe[/b]

[u]bitte anklicken[/u] http://skoliose-info-forum.de/viewtopic.php?t=9854
Benutzeravatar
*so delicious*
Newbie
Newbie
Beiträge: 31
Registriert: Fr, 13.04.2007 - 19:23

Beitrag von *so delicious* »

hallo katrin,

hey das ist ja mal ein super geiles ergebniss!!!

HERZLICHEN GLÜCKWUNSCH!

ich freu mich für dich!!! echt! das ist mal echt richtig, richtig geil...

hab leider grad nicht wirklich zeit, könnte noch ganz viel schreiben=)

lg
victoria
Let´s get out of bed, ´cause this will be the best day, that we ever had! :supercool:
katrin16
Vielschreiber
Vielschreiber
Beiträge: 629
Registriert: Do, 25.05.2006 - 16:26
Wohnort: Vaals
Kontaktdaten:

Beitrag von katrin16 »

danke :)
katrin16
Vielschreiber
Vielschreiber
Beiträge: 629
Registriert: Do, 25.05.2006 - 16:26
Wohnort: Vaals
Kontaktdaten:

Beitrag von katrin16 »

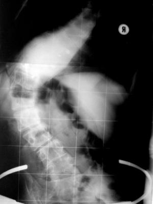
HAllo,
also das 1. Bild ist von Januar mit 92 und 40 und ca.20 grad.
Das 2. ist mein Höllenfahrtsergebniss :)
ich hoffe es um zuspiegeln hat geklappt.
lg
Dateianhänge
forum-photo6.jpg
forum-photo6.jpg (11.28 KiB) 14469 mal betrachtet
katrin16
Vielschreiber
Vielschreiber
Beiträge: 629
Registriert: Do, 25.05.2006 - 16:26
Wohnort: Vaals
Kontaktdaten:

Beitrag von katrin16 »

das 2. foto :)

mist, eigentlich müsste der Bogen in beiden Fällen nach links gehen..so das rechts das "loch" ist.
Dateianhänge
forum-photo7_781.jpg
forum-photo7_781.jpg (28.2 KiB) 14358 mal betrachtet
Benutzeravatar
Dalia
Co-Admin
Co-Admin
Beiträge: 10332
Registriert: So, 10.08.2003 - 12:48
Geschlecht: weiblich
Diagnose: 107° und 98° (im Jahr 2003 zu Beginn der Korsetttherapie: 98° und 93°), sehr starre Skoliose, kaum Beschwerden
Therapie: 1983-1994 Korsetts verschiedener OTs, zuletzt bei Rahmouni, dann Korsettabschulung im Jahr 1994, seit 05/2005 bis etwa 2018 Nachtkorsett von Rahmouni, Therapieziel: Halten der Skoliose, seit 2018 keine Therapie mehr
Wohnort: NRW

Beitrag von Dalia »

Hihi, Katrin, demnach müsstest du Überkorrektur haben. :lach:

Man sieht wirklich eine sehr schöne Verbesserung. :zustimm:
Ich kann dem Leben nicht mehr Tage geben, aber dem Tag mehr Leben. (Bertolt Brecht)
meine Geschichte: Dalia wird Königin (Korsett für eine Oldie-Power-Skoliose)
Papegöye
aktives Mitglied
aktives Mitglied
Beiträge: 241
Registriert: Fr, 03.02.2006 - 19:08
Wohnort: Erlangen

Beitrag von Papegöye »

Hey Katrin,

das ist ja wirklich ein super Ergebnis! Freut mich riesig!
Ich finde beim Röntgen im Korsett sieht man vor allem den Längen- oder besser gesagt Höhenunterschied der Wirbelsäule sehr schön.
Schaut echt gut aus, viel aufgerichteter eben :respect:.

LG

Anne
siena
Newbie
Newbie
Beiträge: 42
Registriert: Di, 13.02.2007 - 12:22
Wohnort: Region München

Beitrag von siena »

Herzlichen Glückwunsch auch von mir!!! Das machst du wirklich ganz toll!!!
siena
Benutzeravatar
Linny
aktives Mitglied
aktives Mitglied
Beiträge: 106
Registriert: Do, 29.03.2007 - 13:47
Geschlecht: weiblich
Diagnose: Skoliose (98° Thorakal und 82° Lumbal)
Nach OP Restkrümmung 41° Thorakal und 32° Lumbal
(Versteift von Th5 - L4)
Therapie: 2007 - 2009 Korsetttherapie
2007 Kur in Bad Sobernheim
2008 Kur in Bad Sobernheim
03.03.2009 OP in Neustadt
Wohnort: Olpe

Beitrag von Linny »

Huhu Katrin :)

Mensch ich freue mich richtig deinen Post zu lesen *froi*
Ich habe oben 74° und bekomme am Montag auch ein Rahmouni Korsett und deine Bilder motivieren mich richtig :) Wenn bei mir auch solch eine Korrektur sein sollte und hoffentlich ist krieg ic hdas bestimmt auch noch gebacken :)

Darf ich fragen ob sie bei dir auch schon zu einer Operation geraten haben?

Liebe Grüße Linny :)
Benutzeravatar
Dalia
Co-Admin
Co-Admin
Beiträge: 10332
Registriert: So, 10.08.2003 - 12:48
Geschlecht: weiblich
Diagnose: 107° und 98° (im Jahr 2003 zu Beginn der Korsetttherapie: 98° und 93°), sehr starre Skoliose, kaum Beschwerden
Therapie: 1983-1994 Korsetts verschiedener OTs, zuletzt bei Rahmouni, dann Korsettabschulung im Jahr 1994, seit 05/2005 bis etwa 2018 Nachtkorsett von Rahmouni, Therapieziel: Halten der Skoliose, seit 2018 keine Therapie mehr
Wohnort: NRW

Beitrag von Dalia »

Hallo Katrin, habe jetzt Röntgenbild Nr. 2 gespiegelt. ;) Man sieht vor allem im oberen Bereich die Verbsserung sehr schön. :)
Ich kann dem Leben nicht mehr Tage geben, aber dem Tag mehr Leben. (Bertolt Brecht)
meine Geschichte: Dalia wird Königin (Korsett für eine Oldie-Power-Skoliose)
katrin16
Vielschreiber
Vielschreiber
Beiträge: 629
Registriert: Do, 25.05.2006 - 16:26
Wohnort: Vaals
Kontaktdaten:

Beitrag von katrin16 »

Hallo,
danke erstmal :)
und danke dalia..jetzt kommt keiner mehr auf die idee ich hätte mit und ohne korsett einen unterschied von 150 grad ;)
@Linny: bei mir ist es so das wegen noch ner anderen Geschichte eine Op gefährlicher wäre als normalerweise, deshalb sind die Ärzte da vorsichtiger. Aber an's Korsett glauben sie glaub ich auch nicht wirklich.
Viel Glück am Montag ;)
lg
Benutzeravatar
Linny
aktives Mitglied
aktives Mitglied
Beiträge: 106
Registriert: Do, 29.03.2007 - 13:47
Geschlecht: weiblich
Diagnose: Skoliose (98° Thorakal und 82° Lumbal)
Nach OP Restkrümmung 41° Thorakal und 32° Lumbal
(Versteift von Th5 - L4)
Therapie: 2007 - 2009 Korsetttherapie
2007 Kur in Bad Sobernheim
2008 Kur in Bad Sobernheim
03.03.2009 OP in Neustadt
Wohnort: Olpe

Beitrag von Linny »

Achso okay .. Dankeschön :)
Antworten