Hm, diese Gründe sind ja eigentlich schon gegeben, vor Allem wenn es stimmt, dass ich in 10-20 Jahren auf jeden Fall noch mehr Atembeschwerden haben werde (was Dr. Hoffmann sagte)Dr. Trobisch hat geschrieben: Gründe für eine OP könnten sein: Zunahme der Skoliose, Schmerzen, Einschränkung der Lebensqualität, etc...
Mein erster Besuch bei Dr. Hoffmann - OP wird angeraten
- Felissilvestriscatus
- aktives Mitglied

- Beiträge: 74
- Registriert: So, 18.12.2016 - 18:34
- Geschlecht: weiblich
- Diagnose: Idiopathische Skoliose, vor OP: 50° Cobb BWS, 37° Cobb LWS
post-OP: 3° Cobb BWS, 17° Cobb LWS - Therapie: Korsett im Alter von 12- 16, Rückengymnastik und Übungen, Schroth
OP 30.06.17, Korrekturspondylodese Th3-th11 - Wohnort: Uhingen
Re: Mein erster Besuch bei Dr. Hoffmann - OP wird angeraten
-
Bernd
- treues Mitglied

- Beiträge: 293
- Registriert: Fr, 27.02.2004 - 18:08
- Geschlecht: männlich
- Wohnort: Stuttgart
Re: Mein erster Besuch bei Dr. Hoffmann - OP wird angeraten
Nein, das bezog sich generell auf das Thema Skoliose-OP und nicht speziell auf die Apifix-Methode. Dr. Steffan hat sehr viel Erfahrung in der konservativen Skoliose-Therapie, hat schon viele operierte Skoliosen gesehen, denen es nach der OP oft schlecht bis sehr schlecht geht und hängt wohl deswegen die Latte für die OP-Indikation sehr hoch. Vor ein paar Monaten habe ich überlegt, ob bei mir eine Skoliose-OP ein Ausweg aus den Dauerschmerzen sein könnte. Darüber habe ich mit operierten Skoliotikern geredet und die übereinstimmende Meinung war "Mach die Skoliose-OP in Deinem Alter (49) nur, wenn Du neurologische Ausfälle (Lähmungen) hast. Sonst verschlechterst Du Deinen Zustand eher, als das Du ihn besserst". Nächste Woche fahre ich nach Taufkirchen zu Dr. Schneiderhan zur Stufendiagnose und Schmerztherapie. Zu einem erhoffe ich mir, Klarheit darüber zu bekommen, was mir Schmerzen macht (mein aktueller Verdacht sind die Vorwölbungen bei den letzten beiden LWS-Wirbeln), zum anderen erhoffe ich mir Linderung, den schon vielen haben PRT-Spritzen geholfen. Wenn die PRT-Spritzen nicht ausreichen sollten gibt es noch einige andere minimalinvasive Methoden, die eventuell in Frage kommen könnten. Vielleicht wäre so eine "OP Light" auch ein Weg für Dich. Ob das bei Dir was bringen könnte müsste natürlich erstmal durch eine intensive Diagnose sichergestellt werden. Bei mir sind dafür 3 Tage eingeplant.
-
Bernd
- treues Mitglied

- Beiträge: 293
- Registriert: Fr, 27.02.2004 - 18:08
- Geschlecht: männlich
- Wohnort: Stuttgart
Re: Mein erster Besuch bei Dr. Hoffmann - OP wird angeraten
> Hm, diese Gründe sind ja eigentlich schon gegeben, vor Allem wenn es stimmt, dass ich in 10-20 Jahren auf jeden Fall noch mehr Atembeschwerden haben werde (was Dr. Hoffmann sagte) 
Mit 19 habe ich zu hören bekommen, dass ich mit Ende 20 vor Schmerzen nicht mehr laufen könne. Hat mich damals sehr runtergezogen diese Aussage. Die ersten schlimmeren und längeren Schmerzen hatte ich mit Mitte 40, es ist also bei weitem nicht so schlimm gekommen wie vorhergesagt. Solche Vorhersagen sind nicht in Stein gemeisselt, es muss nicht zuwangsläufig so kommen. Es kann besser aber auch schlechter laufen.
Mit 19 habe ich zu hören bekommen, dass ich mit Ende 20 vor Schmerzen nicht mehr laufen könne. Hat mich damals sehr runtergezogen diese Aussage. Die ersten schlimmeren und längeren Schmerzen hatte ich mit Mitte 40, es ist also bei weitem nicht so schlimm gekommen wie vorhergesagt. Solche Vorhersagen sind nicht in Stein gemeisselt, es muss nicht zuwangsläufig so kommen. Es kann besser aber auch schlechter laufen.
-
Dr. Steffan
- Arzt / Ärztin

- Beiträge: 1464
- Registriert: Fr, 24.05.2002 - 14:57
- Geschlecht: männlich
Re: Mein erster Besuch bei Dr. Hoffmann - OP wird angeraten
Ich habe in der Zeit tausende Patienten in dem Gradzahlbereich und schlimmer gesehen die keine Probleme hatten und über die Jahre weder eine Zunahme der Krümmung noch mehr Beschwerden hatten. Ganz im Gegensatz zu Operierten die nach der Op mehr Schmerzen, Verschlechterungen der Krümmungen ober- oder unterhalb hatten, massive Zunahmen der Rotation nach der Op oder eine oder mehrere Nach Op's. Aber wie schon gesagt ist das eine individuelle Entscheidung die letztlich der Patient treffen muß. Der Arzt sollte lediglich beraten. Zur Unterstützung dienen dabei die Rö-Bilder der letzten Jahre (die ordentlich vermessen sein sollten) der körperliche Befund und natürlich die Flexibilität und die Lage der Krümmung sowie die Bereitschaft zur konservativen Therapie.Felissilvestriscatus hat geschrieben:Hm, diese Gründe sind ja eigentlich schon gegeben, vor Allem wenn es stimmt, dass ich in 10-20 Jahren auf jeden Fall noch mehr Atembeschwerden haben werde (was Dr. Hoffmann sagte)Dr. Trobisch hat geschrieben: Gründe für eine OP könnten sein: Zunahme der Skoliose, Schmerzen, Einschränkung der Lebensqualität, etc...
Dr. K. Steffan
- brownapple2017
- aktives Mitglied

- Beiträge: 195
- Registriert: Do, 16.01.2014 - 03:27
- Geschlecht: weiblich
- Diagnose: Hüftdysplasie & Coxa valga
chronische Schmerzen
Thorakolumbalskoliose [° nach Cobb]
06/2014: hth: 38°, th: 57°, lu: 34°
05/2018: hth: ca. 20°, th: 53°, lu: 34°; Kyph: 18 oder 36°, Lo: 66 bzw. 77° - Therapie: 3x Katharina-Schroth-Klinik: 2003, 2004, 2006
2006-2010 Schroth-KG
08/2010: Triple-Osteotomie + ITO rechts
06/2013: Triple-Osteotomie links
06/2014 Entscheidung zum allerester Korsett-Versuch
02/2015: Wiederaufnahme Schroth-KG
05/2018: Fortsetzung Schroth-KG ohne MT - Wohnort: KA
Re: Mein erster Besuch bei Dr. Hoffmann - OP wird angeraten
Hallöchen "Hauskatze",Felissilvestriscatus hat geschrieben: Hm, jetzt muss/kann ich mich also zwischen folgenden Optionen entscheiden, so wie ich das verstehe:
1. Schroth KG + evt. Antrag auf eine Schroth Reha bei meiner Krankenkasse stellen
2. "Traditionelle" Versteifungs OP in Neustadt + Schroth KG
3. OP mit Apifix + Schroth KG
...Naja, ich muss mich ja nicht so schnell entscheiden, aber mit der Physiotherapie werde ich natürlich sofort anfangen. Ich denke, ich werde das MRT schon machen lassen und in die Kombisprechstunde gehen und mir da auch nochmal von Dr. Halm Pro und Contra aufzählen lassen, dann kann ich mich besser entscheiden.
Ich habe ähnliche Werte wie du, allerdings liegt mein Brustbogen tiefer, wie du auf den Bildern in der Korsett-Modenschau sehen kannst. Dr. Hoffmann hat mir beim ersten Termin auch sofort zur OP geraten und mir erst auf meine Bemerkung hin, dass ich noch nie ein Korsett hatte, das Rezept verschrieben. Bzgl. des hoch-th Bogen erzählte er mir das gleiche... Beim Treppensteigen und schnellem Radeln gerate ich auch schnell in die Kurzatmigkeit... dennoch
bin ich der Überzeugung, dass mir, als auch dir Schroth (ambulant und als Reha) Verbesserung der aktuellen Beschwerden bringen (wird)...
Dass soll nun nicht heißen, dass ich gegen das Informieren der verschiedenen OP-Varianten bin, allerdings würde ich an deiner Stelle erst alle konservativen Varianten ausschöpfen, bevor ich einer OP zustimmen würde.
- Felissilvestriscatus
- aktives Mitglied

- Beiträge: 74
- Registriert: So, 18.12.2016 - 18:34
- Geschlecht: weiblich
- Diagnose: Idiopathische Skoliose, vor OP: 50° Cobb BWS, 37° Cobb LWS
post-OP: 3° Cobb BWS, 17° Cobb LWS - Therapie: Korsett im Alter von 12- 16, Rückengymnastik und Übungen, Schroth
OP 30.06.17, Korrekturspondylodese Th3-th11 - Wohnort: Uhingen
Re: Mein erster Besuch bei Dr. Hoffmann - OP wird angeraten
Das tut mir Leid für die Operierten die nach der OP mehr Schmerzen oder eine Verschlechterung hattenDr. Steffan hat geschrieben: Ich habe in der Zeit tausende Patienten in dem Gradzahlbereich und schlimmer gesehen die keine Probleme hatten und über die Jahre weder eine Zunahme der Krümmung noch mehr Beschwerden hatten. Ganz im Gegensatz zu Operierten die nach der Op mehr Schmerzen, Verschlechterungen der Krümmungen ober- oder unterhalb hatten, massive Zunahmen der Rotation nach der Op oder eine oder mehrere Nach Op's.
Offtopic: Ich frage mich gerade, warum der OP Indikationsbereich bei 50 ° Cobb festgelegt wurde? (Und welche Ärzte das festlegen? ...)
LG
- Felissilvestriscatus
- aktives Mitglied

- Beiträge: 74
- Registriert: So, 18.12.2016 - 18:34
- Geschlecht: weiblich
- Diagnose: Idiopathische Skoliose, vor OP: 50° Cobb BWS, 37° Cobb LWS
post-OP: 3° Cobb BWS, 17° Cobb LWS - Therapie: Korsett im Alter von 12- 16, Rückengymnastik und Übungen, Schroth
OP 30.06.17, Korrekturspondylodese Th3-th11 - Wohnort: Uhingen
Re: Mein erster Besuch bei Dr. Hoffmann - OP wird angeraten
Das hoffe ich auch, danke für deine Antwort blackguyblackguy hat geschrieben: Beim Treppensteigen und schnellem Radeln gerate ich auch schnell in die Kurzatmigkeit... dennoch
bin ich der Überzeugung, dass mir, als auch dir Schroth (ambulant und als Reha) Verbesserung der aktuellen Beschwerden bringen (wird)...![]()
Ich werde auf jeden Fall erstmal Physiotherapie machen und schauen, wie sehr es mir hilft
Ich muss zugeben, dass ich eigentlich froh bin, dass Dr. Hoffmann meinte, ein Korsett würde mir nicht helfen, da ich das ehrlich gesagt nicht nochmal durchziehen könnte...Meine 4 Jahre mit Korsett waren so ätzend, ich war so glücklich als ich den "Folter-Panzer" ,wie ich es genannt habe, mit 16 endlich ablegen durfte. Vielleicht bin ich ein Weichei ^^', aber immer dieses Gefühl, so eingequetscht zu sein, die blauen Flecken, das Schwitzen, etc...,das möchte ich nicht nochmal erleben...Respekt, dass du das mit dem Korsett durchziehst!
Meine Jugend mit Korsett hat mich negativ geprägt, da meine Krümmung trotz des Korsetts nur immer schlechter wurde und ich habe mich nie richtig an das Korsett gewöhnt, obwohl ich es jahrelang täglich mind. 12 Stunden oder mehr getragen habe.
@Alle: Dr. Hoffmann wurde mir hier im Forum empfohlen und er kam mir auch sehr nett und kompetent vor, spricht er OP Empfehlungen wirklich öfters zu schnell aus?
LG
-
Dr. Steffan
- Arzt / Ärztin

- Beiträge: 1464
- Registriert: Fr, 24.05.2002 - 14:57
- Geschlecht: männlich
Re: Mein erster Besuch bei Dr. Hoffmann - OP wird angeraten
In den 20 Jahren die ich mich intensiv um die Skoliose kümmere habe ich einen Überblick über sehr viele operierte Skoliosepatienten bekommen. Dabei sind alle Altersgruppen, viele Kliniken und Op-Methoden. Sicher geht die Op in der Regel gut. Direkte Probleme nach der Op haben nur wenige Patienten. Obwohl mir einige wirklich traurige Fälle bekannt sind.Felissilvestriscatus hat geschrieben:
Wurden sie alle in der selben Klinik operiert, vom selbem Arzt und von dorsal oder ventral? Das Alter, in dem sie operiert wurden, spielt bestimmt auch eine Rolle, könnte ich mir vorstellen...
Oft aber fangen die Probleme erst nach ein paar Jahren an. Dabei kommt es zu Schmerzen, Krümmungszunahmen ober- oder unterhalb der Versteifungsstrecke, deutlichen Zunahmen der Rotation usw., usw.. Bitte nicht falsch verstehen, ich lehne die Op keinesfalls ab, allerdings wird mir die Indikation derzeit zu schnell gestellt und die Probleme die auftreten können, zu schön geredet.
In einigen bedauernswerten Fällen wurden Rö.Bilder, die die Indikation untermauern sollen, wirklich krass, falsch ausgemessen.
In der Regel von den Operateuren.Offtopic: Ich frage mich gerade, warum der OP Indikationsbereich bei 50 ° Cobb festgelegt wurde? (Und welche Ärzte das festlegen? ...)
Dr. K. Steffan
- Felissilvestriscatus
- aktives Mitglied

- Beiträge: 74
- Registriert: So, 18.12.2016 - 18:34
- Geschlecht: weiblich
- Diagnose: Idiopathische Skoliose, vor OP: 50° Cobb BWS, 37° Cobb LWS
post-OP: 3° Cobb BWS, 17° Cobb LWS - Therapie: Korsett im Alter von 12- 16, Rückengymnastik und Übungen, Schroth
OP 30.06.17, Korrekturspondylodese Th3-th11 - Wohnort: Uhingen
Re: Mein erster Besuch bei Dr. Hoffmann - OP wird angeraten
Ach so, versteheDr. Steffan hat geschrieben:In der Regel von den Operateuren.Offtopic: Ich frage mich gerade, warum der OP Indikationsbereich bei 50 ° Cobb festgelegt wurde? (Und welche Ärzte das festlegen? ...)
LG
- Klaus
- Moderator/in

- Beiträge: 15261
- Registriert: Mi, 23.06.2004 - 18:36
- Geschlecht: männlich
- Wohnort: Hannover
Re: Mein erster Besuch bei Dr. Hoffmann - OP wird angeraten
Hallo Felissilvestriscatus,
Aber ich denke, Du solltest als Newbie erst einmal die konservative Therapie ausprobieren, insbesondere aber die Schroth-Intensiv-REHA, die nicht mit der ambulanten Therapie zu vergleichen ist. Dann kannst Du beurteilen, wie weit Du mit der Schmerzreduzierung und dem Gedanken an eine möglicherweise lebenslange gezielte Muskelpflege kommst. Die sollte man allerdings immer anstreben.
Du hast heutzutage wirklich die Möglichkeit, mehr als 2 Spezialisten Meinungen einzuholen! Ich möchte aber darauf hinweisen, dass diese Diskussion hier als allgemeine Diskussion zum Thema sehen ist und nicht auf Deine individuelle Situation eingehen kann!
Einerseits finde die Diskussion zwischen Dr. Steffan und Dr. Trobisch (bzw. den Austausch von Ansichten) wie immer schon sehr interessant, andrerseits besteht die Gefahr, dass (stille) Mitleser das als persönliche Beratung werten könnten.
Gruß
Klaus
Na ja, zum Punkt 2 gäbe es mit Dr. Trobisch eine weitere Alternative, einen ausführlichen Erfahrungsbericht haben wir schon.2. "Traditionelle" Versteifungs OP in Neustadt + Schroth KG........-
@Dr. Trobisch: Vielen Dank für die AntwortDas finde ich toll, dass hier auch Ärzte im Forum schreiben
Aber ich denke, Du solltest als Newbie erst einmal die konservative Therapie ausprobieren, insbesondere aber die Schroth-Intensiv-REHA, die nicht mit der ambulanten Therapie zu vergleichen ist. Dann kannst Du beurteilen, wie weit Du mit der Schmerzreduzierung und dem Gedanken an eine möglicherweise lebenslange gezielte Muskelpflege kommst. Die sollte man allerdings immer anstreben.
Ich denke, das kann man schwer beurteilen, weil die einzelnen Situationen sehr unterschiedlich sein können. Dazu kommt, dass die hier eingestellten Erfahrungsberichte nur einen Teil der Patienten von Dr. Hoffmann darstellen und immer auch sehr subjektiv sind.@Alle: Dr. Hoffmann wurde mir hier im Forum empfohlen und er kam mir auch sehr nett und kompetent vor, spricht er OP Empfehlungen wirklich öfters zu schnell aus?
Du hast heutzutage wirklich die Möglichkeit, mehr als 2 Spezialisten Meinungen einzuholen! Ich möchte aber darauf hinweisen, dass diese Diskussion hier als allgemeine Diskussion zum Thema sehen ist und nicht auf Deine individuelle Situation eingehen kann!
Einerseits finde die Diskussion zwischen Dr. Steffan und Dr. Trobisch (bzw. den Austausch von Ansichten) wie immer schon sehr interessant, andrerseits besteht die Gefahr, dass (stille) Mitleser das als persönliche Beratung werten könnten.
Gruß
Klaus
-
Dr. Trobisch
- Arzt / Ärztin

- Beiträge: 74
- Registriert: Sa, 02.01.2010 - 03:55
Re: Mein erster Besuch bei Dr. Hoffmann - OP wird angeraten
Die Indikation bei 50° beruht überwiegend auf klassischen Studien, z.B. von Lonstein und co. Damals hat man viele 100 unbehandelte (!) Patienten über viele Jahre nachuntersucht. Die Patienten, die zum Abschluss des Wachstums 40° oder mehr hatten, hatten eine hohe Wahrscheinlichkeit, dass die Skoliose ein Leben lang weiter zunimmt, wohingegen die Patienten mit 30° oder weniger, eine sehr kleine Wahrscheinlichkeit für eine Zunahme hatten.
Das heisst aber im Umkehrschluss nicht, dass jeder mit 50° immer eine Verschlechterung bekommt und jeder mit 30° sicher ist. Viele bisher nicht bekannte Faktoren haben einen Einfluss. Ich selber erlebe häufig, dass zB. Schwangerschaft eine Skoliose verschlechtern kann (nicht muss!).
Erst heute hatte ich eine Patienten mit 50° in der BWS und ohne Beschwerden, die schon Mitte 20 ist. Habe klar von der OP abgeraten.
Es kann aber sein, dass Montag eine gleichaltrige Patienten mit 50° in der LWS, vielleicht asymmetrischer Bandscheiben mit Nervenverengung oder sonst was kommt, die sehr starke Schmerzen oder jährlich 5° Zunahme der Skoliose hat. Ihr würde ich vielleicht schon zur OP raten. Damit will ich sagen: 50° ist nicht gleich 50°. Immer eine sehr individuelle Abwägung, die (ich kann mich nur wiederholen) nicht in einem Diskussionsforum stattfinden kann. Das Forum sollte sich darauf beschränken, erfahrene Ärzte zu empfehlen und keine Behandlungsvorschläge zu geben.
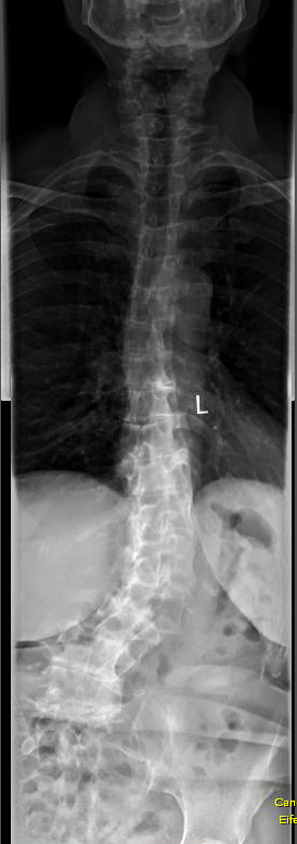
Nur mal so als Beispiel. Das Bild zeigt eine Skoliose mit nur 43°. Die Dame konnte vor Schmerzen aber kaum noch stehen. Der schnelle Verschleiß hat sich aufgrund einer tiefliegenden Skoliose entwickelt, obwohl die noch nicht bei 50° war.
Das heisst aber im Umkehrschluss nicht, dass jeder mit 50° immer eine Verschlechterung bekommt und jeder mit 30° sicher ist. Viele bisher nicht bekannte Faktoren haben einen Einfluss. Ich selber erlebe häufig, dass zB. Schwangerschaft eine Skoliose verschlechtern kann (nicht muss!).
Erst heute hatte ich eine Patienten mit 50° in der BWS und ohne Beschwerden, die schon Mitte 20 ist. Habe klar von der OP abgeraten.
Es kann aber sein, dass Montag eine gleichaltrige Patienten mit 50° in der LWS, vielleicht asymmetrischer Bandscheiben mit Nervenverengung oder sonst was kommt, die sehr starke Schmerzen oder jährlich 5° Zunahme der Skoliose hat. Ihr würde ich vielleicht schon zur OP raten. Damit will ich sagen: 50° ist nicht gleich 50°. Immer eine sehr individuelle Abwägung, die (ich kann mich nur wiederholen) nicht in einem Diskussionsforum stattfinden kann. Das Forum sollte sich darauf beschränken, erfahrene Ärzte zu empfehlen und keine Behandlungsvorschläge zu geben.
Nur mal so als Beispiel. Das Bild zeigt eine Skoliose mit nur 43°. Die Dame konnte vor Schmerzen aber kaum noch stehen. Der schnelle Verschleiß hat sich aufgrund einer tiefliegenden Skoliose entwickelt, obwohl die noch nicht bei 50° war.
- Dateianhänge
-
- image001.png (142.92 KiB) 13527 mal betrachtet
-
Bogi
- Newbie

- Beiträge: 27
- Registriert: So, 31.07.2016 - 13:29
- Geschlecht: männlich
- Diagnose: Kongentiale Kyphosskoliose (55° Th4-TH12) der oberen LWS.
Lordosewinkel L1-S1 60°
Versteifung zwischen TH11-L4 - Therapie: KG; ab 1986 Gipsschale; Chenaukorsett; ab 1990-97 6 Op´s mit anschl. Korsettversorgung Stagnara und Rissergips; 2004 7te Op Metallentfernung; 2004 Kur; 2005 1. Rahmounikorsett
seit 02/17 2. Rahmounikorsett - Wohnort: Bayern
Re: Mein erster Besuch bei Dr. Hoffmann - OP wird angeraten
Ich muss Dr. Steffan recht geben. Mann muss sich bewusst sein, das eine OP auch nicht immer gut verläuft. Ich bin selbst mehrfachoperiert (6 OP´s und eine 7te mit Metallentfernung) und wurde im Kindesalter in Vogtareuth behandelt. Das ist nun genau 20 Jahre her und bin nun an folgenden Punkt.Dr. Steffan hat geschrieben:Oft aber fangen die Probleme erst nach ein paar Jahren an. Dabei kommt es zu Schmerzen, Krümmungszunahmen ober- oder unterhalb der Versteifungsstrecke, deutlichen Zunahmen der Rotation usw., usw..
Ich war in der Zeit nach den Op´s nahezu schmerzfrei. Ich konnte körperliche Arbeiten ohne große Probleme durchführen. Seit einem Jahr geht´s nun los mit Beschwerden im Lordosebereich. Unterhalb meiner Versteifung knicken die Wirbel weg und quetschen die Bandscheiben und oberhalb rollt sich mein Rücken nach vorne (Kyphose). Ich wurde in meiner letzten OP 1996 um 10cm gestreckt. Jetzt bin ich wieder 8cm kleiner!! Also deutliche Verschlechterung. Nun bin ich wieder an einen Punkt wo man sich überlegen muss wie es weiter geht und bin erst 36J.
Ich will damit nur sagen, das auch eine OP nicht immer alles zum Guten bringen kann. Ich muss aber auch sagen, das bei mir die OP meine letzte Möglichkeit war, da ich schon bei 90° Cobb war und dieser Wert sich rasant verschlechterte. Ich möchte nicht wissen wie es mir ohne OP ginge. Andersrum fragt man sich aber auch wenn ich evtl. gute Korsett´s gehabt hätte wäre vielleicht auch keine OP nötig gewesen??
Ich hatte zumindest bis jetzt 20 gute Jahre nach den OP´s. Schau ma mal wie es weitergeht.
Übrigens das Lungenvolumen ist auch stark eingeschränkt komme aber eigentlich gut zu recht. Bei Ausdauersport hat man dann schon Probleme.
Also von Profi´s gut beraten lassen und erst alle alternativen Möglichkeiten nutzen!
- Klaus
- Moderator/in

- Beiträge: 15261
- Registriert: Mi, 23.06.2004 - 18:36
- Geschlecht: männlich
- Wohnort: Hannover
Re: Mein erster Besuch bei Dr. Hoffmann - OP wird angeraten
Hallo Dr. Trobisch,
Was Behandlungsvorschläge angeht, ist das so zu sehen:
1. wir reden hier im Detail in erster Linie über die konservativen Möglichkeiten, das hat sich von Anfang an auch aufgrund der (aktiven) User so ergeben. Wir bieten ja ein OP Unterforum an, in dem man sich ausbreiten könnte. Natürlich verweisen wir auch auf andere Foren, in denen es mehr um OP's geht. Insofern gibt es hier schon eine Betonung der konservativen Therapie.
2. bei Newbies, die noch keine kompetente Diagnose haben, wird nur allgemein über die Möglichkeiten gesprochen, damit der Besuch beim Spezialisten nicht überfordert. Das wird in der Regel bei Bedarf auch immer wieder betont.
3. bei Usern, die bereits in der Behandlung sind, wird so eine Behandlung in den Details diskutiert und dabei werden natürlich auch Empfehlungen aus der Erfahrung gegeben, zumal die konservative Therapie insbesondere bei Erwachsenen (die Mehrzahl in der Diskussion) immer nur als persönlicher Versuch zu sehen ist.
4. auch wenn die Situation bei Fehlstellungen der Wirbelsäule immer noch zu verzweifelten Usern führen kann, muss man davon ausgehen können, dass sich Erwachsene ihr eigenes Urteil über die Behandlungsform bilden müssen. Und dazu muss es auch entsprechende Erfahrungen als Entscheidungs-Grundlage geben.
Im übrigen sind wir gottseidank ein offenes Forum, in dem es aber dank vieler aktiver User schon sehr zielorientierte Diskussionen gibt (besonderer Dank an Sängerin). Ich bin wirklich stolz darauf.
Gruß
Klaus
Also ich weise immer wieder auf die individuellen Unterschiedlichkeiten hin (wie auch in meinem letzten Post) und das tun auch viele andere.Damit will ich sagen: 50° ist nicht gleich 50°. Immer eine sehr individuelle Abwägung, die (ich kann mich nur wiederholen) nicht in einem Diskussionsforum stattfinden kann. Das Forum sollte sich darauf beschränken, erfahrene Ärzte zu empfehlen und keine Behandlungsvorschläge zu geben.
Was Behandlungsvorschläge angeht, ist das so zu sehen:
1. wir reden hier im Detail in erster Linie über die konservativen Möglichkeiten, das hat sich von Anfang an auch aufgrund der (aktiven) User so ergeben. Wir bieten ja ein OP Unterforum an, in dem man sich ausbreiten könnte. Natürlich verweisen wir auch auf andere Foren, in denen es mehr um OP's geht. Insofern gibt es hier schon eine Betonung der konservativen Therapie.
2. bei Newbies, die noch keine kompetente Diagnose haben, wird nur allgemein über die Möglichkeiten gesprochen, damit der Besuch beim Spezialisten nicht überfordert. Das wird in der Regel bei Bedarf auch immer wieder betont.
3. bei Usern, die bereits in der Behandlung sind, wird so eine Behandlung in den Details diskutiert und dabei werden natürlich auch Empfehlungen aus der Erfahrung gegeben, zumal die konservative Therapie insbesondere bei Erwachsenen (die Mehrzahl in der Diskussion) immer nur als persönlicher Versuch zu sehen ist.
4. auch wenn die Situation bei Fehlstellungen der Wirbelsäule immer noch zu verzweifelten Usern führen kann, muss man davon ausgehen können, dass sich Erwachsene ihr eigenes Urteil über die Behandlungsform bilden müssen. Und dazu muss es auch entsprechende Erfahrungen als Entscheidungs-Grundlage geben.
Im übrigen sind wir gottseidank ein offenes Forum, in dem es aber dank vieler aktiver User schon sehr zielorientierte Diskussionen gibt (besonderer Dank an Sängerin). Ich bin wirklich stolz darauf.
Gruß
Klaus
-
Lonee
- aktives Mitglied

- Beiträge: 58
- Registriert: Fr, 22.01.2016 - 19:19
- Geschlecht: weiblich
- Diagnose: Vor Op: Lumbale Skoliose 55 Grad
- Therapie: Op in 1995, Versteifung T12-L3
Re: Mein erster Besuch bei Dr. Hoffmann - OP wird angeraten
Hallo zusammen,
ich finde die Diskussion sehr interessant.
Es ist toll, dass Ärzten in dem Forum mitdiskutieren.
Ich frage mich, warum Skoliose auf Grads genau vermessen wird, ohne Angabe von Toleranz. Und ob, nur aufgrund dieser Messung die Progredienz evaluiert wird.
Bei Felissilvestriscatus beträgt die Progredienz 6 Grad. Wie kann man sicher sein, dass es sich nicht um Abweichgung bei der Messung oder bei der Körper-Haltung handelt?
Als Beispiel, habe ich letztes Jahr eine Röntgenaufnahme gemacht. Die Technikerin hatte mir gesagt, dass ich mich an die Wand lehnen und gerade stehen sollte. (bei allen älteren Aufnahmen hatte ich das nie gemacht, ich stand einfach)
Als Ergebnis, hatte ich fast 5 bis 10 Grad weniger in der Krümmung als vor ein paar Jahren (ich bin operiert aber thorakal nicht versteift und flexibel).
Viele Grüße
ich finde die Diskussion sehr interessant.
Es ist toll, dass Ärzten in dem Forum mitdiskutieren.
Ich frage mich, warum Skoliose auf Grads genau vermessen wird, ohne Angabe von Toleranz. Und ob, nur aufgrund dieser Messung die Progredienz evaluiert wird.
Bei Felissilvestriscatus beträgt die Progredienz 6 Grad. Wie kann man sicher sein, dass es sich nicht um Abweichgung bei der Messung oder bei der Körper-Haltung handelt?
Als Beispiel, habe ich letztes Jahr eine Röntgenaufnahme gemacht. Die Technikerin hatte mir gesagt, dass ich mich an die Wand lehnen und gerade stehen sollte. (bei allen älteren Aufnahmen hatte ich das nie gemacht, ich stand einfach)
Als Ergebnis, hatte ich fast 5 bis 10 Grad weniger in der Krümmung als vor ein paar Jahren (ich bin operiert aber thorakal nicht versteift und flexibel).
Viele Grüße
- Felissilvestriscatus
- aktives Mitglied

- Beiträge: 74
- Registriert: So, 18.12.2016 - 18:34
- Geschlecht: weiblich
- Diagnose: Idiopathische Skoliose, vor OP: 50° Cobb BWS, 37° Cobb LWS
post-OP: 3° Cobb BWS, 17° Cobb LWS - Therapie: Korsett im Alter von 12- 16, Rückengymnastik und Übungen, Schroth
OP 30.06.17, Korrekturspondylodese Th3-th11 - Wohnort: Uhingen
Re: Mein erster Besuch bei Dr. Hoffmann - OP wird angeraten
Hallo,
Nochmal danke an Alle für die vielen Antworten! Ich bin froh, dass es dieses Forum und die Facebook Gruppe gibt, so kann ich mir möglichst viele Erfahrungsberichte anhören und mich dann entscheiden
Ich werde mir natürlich noch eine 2. ärztliche Meinung im realen Leben holen
Ich habe auch Dr. Desai kontaktiert, seine Kontaktdaten wurden mir von Apifix gegeben. So wie ich das verstanden habe, könnte man mit einer OP nach der Apifix Methode zumindest nichts "verlieren", da nichts versteift wird. Ich werde natürlich erstmal Physio machen, aber ich überlege mir trotzdem weiter, die OP mit Apifix machen zu lassen, falls Dr. Desai der Meinung sein wird, dass die Methode bei mir Erfolg verspricht. Apifix wäre ja eine Art internes Korsett, nach der OP muss man intensiv Physio nach Schroth machen. Für mich klingt diese Methode wie ein Mittelweg, wie ein Kompromis zwischen reiner Schroth Therapie und Versteifungs-OP. Laut dem Mitarbeiter bei Apifix, der mir geschrieben hat, könnte man die OP im Notfall sehr leicht rückgängig machen, bei einer Versteifung würde das ja nicht mehr gehen. (Ich hoffe natürlich, dass es nie rückgängig gemacht werden müsste). Ich bin noch nicht ganz überzeugt davon, dass mir eine reine konservative Therapie auf die Dauer alleine helfen wird, da mir als Jugendliche die konservative Therapie mit Korsett und täglicher Physiotherapie zuhause + 1 x wöchentlich ambulant (ich habe meine Therapeutin von damals jetzt gefragt, sie meinte sie hat auch Schroth mit mir gemacht) nicht geholfen hat. Deshalb gefällt mir dieser Kompromis, diese Apifix Methode, immer besser...Mal sehen, ob ich überhaupt wirklich dafür geeignet bin, das kann nur Dr. Desai feststellen.
@Lonee: Hm, ich sollte mich immer an die Wand lehnen und ganz gerade stehen. Ich als Leie und mit bloßem Auge habe allerdings auch schon erkennen können, dass mein neues Röntgenbild schlimmer aussieht, also schlechter geworden ist es auf jeden Fall.
LG
PS: Ich wollte mein Röntgenbild anhängen, leider ist die Datei zu groß
PPS: Heute habe ich wieder Schmerzen in der Schulter und im Brustkorb -.-
Nochmal danke an Alle für die vielen Antworten! Ich bin froh, dass es dieses Forum und die Facebook Gruppe gibt, so kann ich mir möglichst viele Erfahrungsberichte anhören und mich dann entscheiden
@Lonee: Hm, ich sollte mich immer an die Wand lehnen und ganz gerade stehen. Ich als Leie und mit bloßem Auge habe allerdings auch schon erkennen können, dass mein neues Röntgenbild schlimmer aussieht, also schlechter geworden ist es auf jeden Fall.
LG
PS: Ich wollte mein Röntgenbild anhängen, leider ist die Datei zu groß
PPS: Heute habe ich wieder Schmerzen in der Schulter und im Brustkorb -.-
- brownapple2017
- aktives Mitglied

- Beiträge: 195
- Registriert: Do, 16.01.2014 - 03:27
- Geschlecht: weiblich
- Diagnose: Hüftdysplasie & Coxa valga
chronische Schmerzen
Thorakolumbalskoliose [° nach Cobb]
06/2014: hth: 38°, th: 57°, lu: 34°
05/2018: hth: ca. 20°, th: 53°, lu: 34°; Kyph: 18 oder 36°, Lo: 66 bzw. 77° - Therapie: 3x Katharina-Schroth-Klinik: 2003, 2004, 2006
2006-2010 Schroth-KG
08/2010: Triple-Osteotomie + ITO rechts
06/2013: Triple-Osteotomie links
06/2014 Entscheidung zum allerester Korsett-Versuch
02/2015: Wiederaufnahme Schroth-KG
05/2018: Fortsetzung Schroth-KG ohne MT - Wohnort: KA
Re: Mein erster Besuch bei Dr. Hoffmann - OP wird angeraten
Seit einigen Wochen habe ich wiederkehrende linienförmig brennend, stechende Schmerzen über den rechten Po manchmal nur bis ins Knie und z.B. am Samstag auch bis in die Ferse oder Fußinnenkante...Das hoffe ich auch, danke für deine Antwort blackguy Hast du auch oft Schmerzen in der unteren LWS und im Brustkorb und manchmal ein Stechen zwischen den Rippen ?
Ansonsten ist es bei mir die rechte Seite auf Kreuz-, Steißbein Ebene, v.a. wenn ich ohne meine Sitzkissen (Keilkissen und Sitzreifen) sitze (max. 1,5 h), sonst brennt und sticht mein Gesicht (rechts), mein Nacken und teilweise auch die obere Brust-WS . Seit das mit den linienförmigen Schmerzen im Po anfing habe ich das auch, wenn ich für meine Verhältnisse viel (> 1 km bzw. 15 min ) gehe.
Am Mittwoch letzte Woche hat mir die Manualtherapeutin den rechten Brustkorb geschröpft: da hat es dann auch gebrannt und gestochen… das positive war, dass sich dabei auch diverse Blockaden gelöst haben…am Freitag hat sie die eine feste Stelle um ca. C3 oder 4 so kräfitig bearbeitet, dass ich das Gefühl hatte mir wird ein Messer durch den Arm in den unteren Teil der Handfläche und Daumen gejagt…
hat aber im nächsten Moment auf die obere BWS gewechselt und die Hand und Unterarm hatten sich bis zum Ende der Stunde wieder beruhigt... Ich werde auf jeden Fall erstmal Physiotherapie machen und schauen, wie sehr es mir hilft Falls es auf die Dauer nicht viel helfen sollte, kann ich mich ja immer noch entscheiden
Ich muss zugeben, dass ich eigentlich froh bin, dass Dr. Hoffmann meinte, ein Korsett würde mir nicht helfen, da ich das ehrlich gesagt nicht nochmal durchziehen könnte...Meine 4 Jahre mit Korsett waren so ätzend, ich war so glücklich als ich den "Folter-Panzer" ,wie ich es genannt habe, mit 16 endlich ablegen durfte. Vielleicht bin ich ein Weichei ^^', aber immer dieses Gefühl, so eingequetscht zu sein, die blauen Flecken, das Schwitzen, etc...,das möchte ich nicht nochmal erleben...Respekt, dass du das mit dem Korsett durchziehst!
Dass die Korsett-Therapie kein Zuckerschlecken ist, habe ich auch leidvoll erfahren müssen… Wie du in meinem Thread
nachlesen kannst, habe ich diese Therapieform auf Eis legen müssen... Ich bin jetzt jahrelang nicht zum Orthopäden gegangen aus dem Grund, dass ich Angst davor hatte, wieder in ein Korsett gesteckt zu werden- Ich weiß, das war kindisch von mir ^^'
Meine Jugend mit Korsett hat mich negativ geprägt, da meine Krümmung trotz des Korsetts nur immer schlechter wurde und ich habe mich nie richtig an das Korsett gewöhnt, obwohl ich es jahrelang täglich mind. 12 Stunden oder mehr getragen habe.
Dass du Angst davor hast, nachdem was du mit dem, (vermutlich) Plastikschrott?!? durchgemacht hast, ist nachvollziehbar: allerdings habe ich hier gelesen, dass ein paar User, die in ihrer Jugend Korsett getragen haben, zwischen 20 und 30 mit einem Rahmouni-bzw. Cctec-Schmerzkorsett die Progredienz erfolgreich aufhalten konnten!!!
Ich wollte mein Röntgenbild anhängen, leider ist die Datei zu groß
Wie sich das Bild verkleinern läßt, haben wir ausführlich
beschrieben...-
Bernd
- treues Mitglied

- Beiträge: 293
- Registriert: Fr, 27.02.2004 - 18:08
- Geschlecht: männlich
- Wohnort: Stuttgart
Re: Mein erster Besuch bei Dr. Hoffmann - OP wird angeraten
@FelisSilvestrisCatus: die Apifix-Methode liest sich interessant. Wäre toll, wenn Du weiter über Deine entsprechenden Beratungstermine berichtest. Auch bei der Methode werden Wirbel angebohrt und mit Implantaten versehen. Auch wenn es nur 2 Wirbel sind ist das ein erhebliches Risiko in dem sehr sensiblen Bereich der Wirbelsäule. Es werden sehr viel weniger Wirbel wie bei einer konventionellen Skoliose-OP behandelt, das reduziert das sehr große OP-Risiko einer konventionellen Skoliose-OP auf ein grosses Risiko einer Apifix-OP.
-
Lonee
- aktives Mitglied

- Beiträge: 58
- Registriert: Fr, 22.01.2016 - 19:19
- Geschlecht: weiblich
- Diagnose: Vor Op: Lumbale Skoliose 55 Grad
- Therapie: Op in 1995, Versteifung T12-L3
Re: Mein erster Besuch bei Dr. Hoffmann - OP wird angeraten
Hallo FelisSilvestrisCatus
die Op. apifix kling interessant.
Aber für so eine Op. muss die Krümmung flexibel sein.
Es ist dann die Frage, ob es bei Erwachsenen wirklich Sinn macht, eine flexible Krümmung zu operieren.
Weil, man kann bestimmt mit Physiotherapie viel erreichen.
Du muss auch beachten, dass eine Op. Narben erzeugt (extern und intern)
Wenn man es nicht unbedingt braucht, ist es besser ohne.
Ich habe durch meine Op. ein paar irremediable Nervenverletzungen bekommen:Störung der Sensibilität bei der Narbe, warme Fuss wegen parasympathischen Nervenverletzung.
Wenn ich eine enge T-Shirt anziehe, habe ich den Eindruck, dass etwas mich an der Körper-Seite drückt. Es kann unangenehm werden, manchmal habe ich fast Schmerzen bei der Rippe.
Ich finde das nicht unbedingt so schlimm, aber es erinnert mich immer wieder an meine Op.
Also, überlege dir gut, was du tun willst.
Viele Grüße
@Blackguy: du arme
die Op. apifix kling interessant.
Aber für so eine Op. muss die Krümmung flexibel sein.
Es ist dann die Frage, ob es bei Erwachsenen wirklich Sinn macht, eine flexible Krümmung zu operieren.
Weil, man kann bestimmt mit Physiotherapie viel erreichen.
Du muss auch beachten, dass eine Op. Narben erzeugt (extern und intern)
Wenn man es nicht unbedingt braucht, ist es besser ohne.
Ich habe durch meine Op. ein paar irremediable Nervenverletzungen bekommen:Störung der Sensibilität bei der Narbe, warme Fuss wegen parasympathischen Nervenverletzung.
Wenn ich eine enge T-Shirt anziehe, habe ich den Eindruck, dass etwas mich an der Körper-Seite drückt. Es kann unangenehm werden, manchmal habe ich fast Schmerzen bei der Rippe.
Ich finde das nicht unbedingt so schlimm, aber es erinnert mich immer wieder an meine Op.
Also, überlege dir gut, was du tun willst.
Viele Grüße
@Blackguy: du arme
- Felissilvestriscatus
- aktives Mitglied

- Beiträge: 74
- Registriert: So, 18.12.2016 - 18:34
- Geschlecht: weiblich
- Diagnose: Idiopathische Skoliose, vor OP: 50° Cobb BWS, 37° Cobb LWS
post-OP: 3° Cobb BWS, 17° Cobb LWS - Therapie: Korsett im Alter von 12- 16, Rückengymnastik und Übungen, Schroth
OP 30.06.17, Korrekturspondylodese Th3-th11 - Wohnort: Uhingen
Re: Mein erster Besuch bei Dr. Hoffmann - OP wird angeraten
Gerne, werde ich machenBernd hat geschrieben:@FelisSilvestrisCatus: die Apifix-Methode liest sich interessant. Wäre toll, wenn Du weiter über Deine entsprechenden Beratungstermine berichtest.
@blackguy: Das tut mir Leid
Danke für den Tipp zum Hochladen, mein PC scheint kein Paint zu haben, deshalb zeige ich mein Röntgenbild jetzt so per Link:
http://www.directupload.net/file/d/4631 ... v3_jpg.htm
@Lonee: Oh, das tut mir Leid
LG
Re: Mein erster Besuch bei Dr. Hoffmann - OP wird angeraten
Hi,
deine Krümmung sitzt tatsächlich sehr weit oben und ich glaube selbst Rahmouni würde sagen, dass man da mit einem Korsett nur ganz schwer was korrigieren kann.
deine Krümmung sitzt tatsächlich sehr weit oben und ich glaube selbst Rahmouni würde sagen, dass man da mit einem Korsett nur ganz schwer was korrigieren kann.
